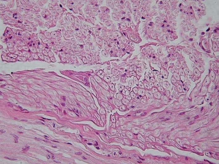
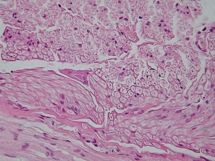
Un tissu en biologie est le niveau d'organisation intermédiaire entre la cellule et l'organe. Un tissu est un ensemble de cellules semblables et de même origine, regroupées en amas, réseau ou faisceau (fibre). Un tissu forme un ensemble fonctionnel, c'est-à-dire que ses cellules concourent à une même fonction. Les tissus biologiques se régénèrent régulièrement et sont assemblés entre eux pour former des organes. La science qui étudie les tissus est l'histologie. Il existe plus d'une centaine de tissus chez les animaux. Tous sont regroupés en quatre grandes catégories selon leur morphologie : le tissu épithélial est un ensemble de cellules serrées les unes aux autres formant un ensemble avasculaire mais innervé, séparé d'un tissu conjonctif sous-jacent par une structure de soutien appelée lame basale. Ce type de tissu est dit de revêtement lorsqu'il se retrouve sur les surfaces qui jouxtent le milieu externe ou les cavités de l'organisme. Il est appelé glandulaire lorsqu'il est regroupé en structure spécialisée dans la production de sécrétion ou d'hormone. Le tissu épithélial dérive essentiellement de l'endoderme et de l'ectoderme, et dans une faible part du mésoderme ; le tissu conjonctif dont les cellules sont disjointes, séparées par des matériaux extracellulaires, désigne une large gamme de tissus. On trouve dans cet ensemble le sang, le squelette des vertébrés, les couches profondes de la peau, etc. Il a en général un rôle de soutien. Le tissu conjonctif dérive du mésoderme ; le tissu musculaire est formé de cellules contractiles et permet le mouvement. Il dérive du mésoderme ; le tissu nerveux est formé de cellules polarisées agencées en réseau et permet le contrôle du fonctionnement de l'organisme. Il dérive de l'ectoderme. Sur le plan embryonnaire, les tissus conjonctifs proviennent du mésoderme. Ils sont donc présents uniquement chez les animaux triploblastiques. Chez les animaux diploblastiques (éponges, méduses, coraux), les deux tissus de bases (ectoderme et endoderme) sont séparés par la mésoglée, une gelée acellulaire, et les fonctions des tissus conjonctifs sont partiellement prises en charge par l'ectoderme.
Luc Reymond, Fabien Kuttler, Milena Maria Schuhmacher, Manon Sandra Bardyn, Daria Korotkova, Triana Amen
Francesco Carrara, Jiande Zhou