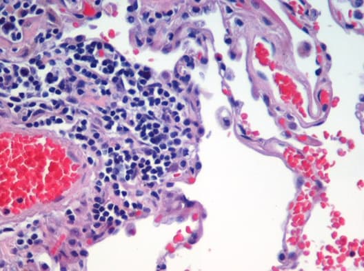
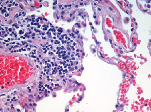
In biology, tissue is a historically derived biological organizational level between cells and a complete organ. A tissue is therefore often thought of as an assembly of similar cells and their extracellular matrix from the same origin that together carry out a specific function. Organs are then formed by the functional grouping together of multiple tissues. The English word "tissue" derives from the French word "tissu", the past participle of the verb tisser, "to weave". The study of tissues is known as histology or, in connection with disease, as histopathology. Xavier Bichat is considered as the "Father of Histology". Plant histology is studied in both plant anatomy and physiology. The classical tools for studying tissues are the paraffin block in which tissue is embedded and then sectioned, the histological stain, and the optical microscope. Developments in electron microscopy, immunofluorescence, and the use of frozen tissue-sections have enhanced the detail that can be observed in tissues. With these tools, the classical appearances of tissues can be examined in health and disease, enabling considerable refinement of medical diagnosis and prognosis. In plant anatomy, tissues are categorized broadly into three tissue systems: the epidermis, the ground tissue, and the vascular tissue. Epidermis – Cells forming the outer surface of the leaves and of the young plant body. Vascular tissue – The primary components of vascular tissue are the xylem and phloem. These transport fluids and nutrients internally. Ground tissue – Ground tissue is less differentiated than other tissues. Ground tissue manufactures nutrients by photosynthesis and stores reserve nutrients. Plant tissues can also be divided differently into two types: Meristematic tissues Permanent tissues. Plant stem cell Meristematic tissue consists of actively dividing cells and leads to increase in length and thickness of the plant. The primary growth of a plant occurs only in certain specific regions, such as in the tips of stems or roots.
Luc Reymond, Fabien Kuttler, Milena Maria Schuhmacher, Manon Sandra Bardyn, Daria Korotkova, Triana Amen
Francesco Carrara, Jiande Zhou