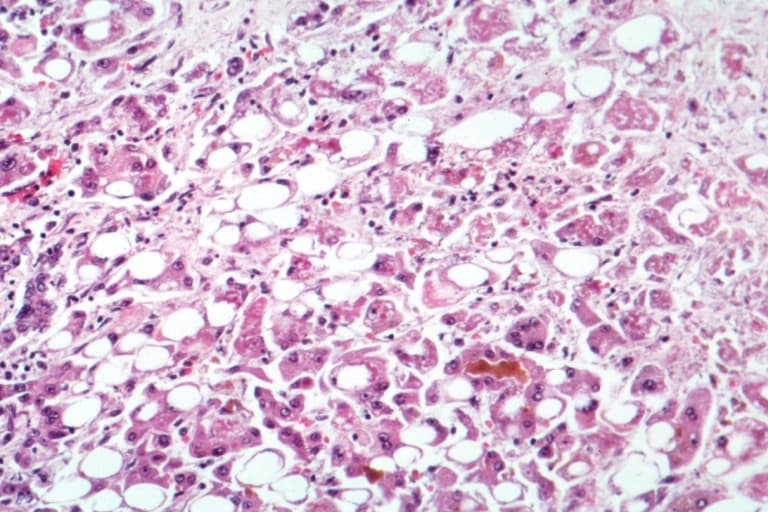
Alcoholic liver disease (ALD), also called alcohol-related liver disease (ARLD), is a term that encompasses the liver manifestations of alcohol overconsumption, including fatty liver, alcoholic hepatitis, and chronic hepatitis with liver fibrosis or cirrhosis. It is the major cause of liver disease in Western countries. Although steatosis (fatty liver disease) will develop in any individual who consumes a large quantity of alcoholic beverages over a long period of time, this process is transient and reversible. More than 90% of all heavy drinkers develop fatty liver whilst about 25% develop the more severe alcoholic hepatitis, and 15% liver cirrhosis. Risk factors known as of 2010 are: Quantity of alcohol taken: Consumption of 60–80 g per day (14 g is considered one standard drink in the US, i.e., 1.5 fl oz hard liquor, 5 fl oz wine, 12 fl oz beer; drinking a six-pack of 5% ABV beer daily would be 84 g and just over the upper limit) for 20 years or more in men, or 20 g/day for women significantly increases the risk of hepatitis and fibrosis by 6% to 41%. Pattern of drinking: Drinking outside of meal times increases up to 3 times the risk of alcoholic liver disease. Sex: Women are twice as susceptible to alcohol-related liver disease, and may develop alcoholic liver disease with shorter durations and doses of chronic consumption. The lesser amount of alcohol dehydrogenase secreted in the gut, higher proportion of body fat in women, and changes in alcohol absorption due to the menstrual cycle may explain this phenomenon. Ethnicity: Higher rates of alcohol-related liver disease, unrelated to differences in amounts of alcohol consumed, are seen in African-American and Hispanic males compared to Caucasian males. Hepatitis C infection: A concomitant hepatitis C infection significantly accelerates the process of liver injury. Genetic factors: Genetic factors predispose both to alcoholism and to alcoholic liver disease. Both monozygotic twins are more likely to be alcoholics and to develop liver cirrhosis than both dizygotic twins.
Kristina Schoonjans, Petar Petrov
Kristina Schoonjans, Alessia Perino, Hadrien Charles Edouard Demagny