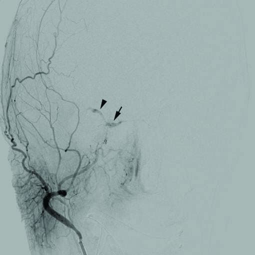
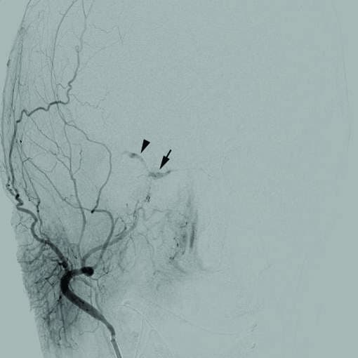
Cerebrovascular disease includes a variety of medical conditions that affect the blood vessels of the brain and the cerebral circulation. Arteries supplying oxygen and nutrients to the brain are often damaged or deformed in these disorders. The most common presentation of cerebrovascular disease is an ischemic stroke or mini-stroke and sometimes a hemorrhagic stroke. Hypertension (high blood pressure) is the most important contributing risk factor for stroke and cerebrovascular diseases as it can change the structure of blood vessels and result in atherosclerosis. Atherosclerosis narrows blood vessels in the brain, resulting in decreased cerebral perfusion. Other risk factors that contribute to stroke include smoking and diabetes. Narrowed cerebral arteries can lead to ischemic stroke, but continually elevated blood pressure can also cause tearing of vessels, leading to a hemorrhagic stroke. A stroke usually presents with an abrupt onset of a neurologic deficit – such as hemiplegia (one-sided weakness), numbness, aphasia (language impairment), or ataxia (loss of coordination) – attributable to a focal vascular lesion. The neurologic symptoms manifest within seconds because neurons need a continual supply of nutrients, including glucose and oxygen, that are provided by the blood. Therefore, if blood supply to the brain is impeded, injury and energy failure is rapid. Besides hypertension, there are also many less common causes of cerebrovascular disease, including those that are congenital or idiopathic and include CADASIL, aneurysms, amyloid angiopathy, arteriovenous malformations, fistulas, and arterial dissections. Many of these diseases can be asymptomatic until an acute event, such as a stroke, occurs. Cerebrovascular diseases can also present less commonly with headache or seizures. Any of these diseases can result in vascular dementia due to ischemic damage to the brain. The most common presentation of cerebrovascular diseases is an acute stroke, which occurs when blood supply to the brain is compromised.
Mor-Miri Mishkovsky, Jean-Noël Hyacinthe, Mario Gaetano Lepore, Thanh Phong Kevin Lê, Lara Buscemi Estefanell
Bénédicte Marie Maréchal, Ricardo Alberto Corredor Jerez
Friedhelm Christoph Hummel, Philipp Johannes Koch