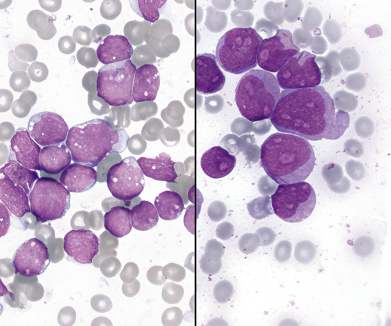
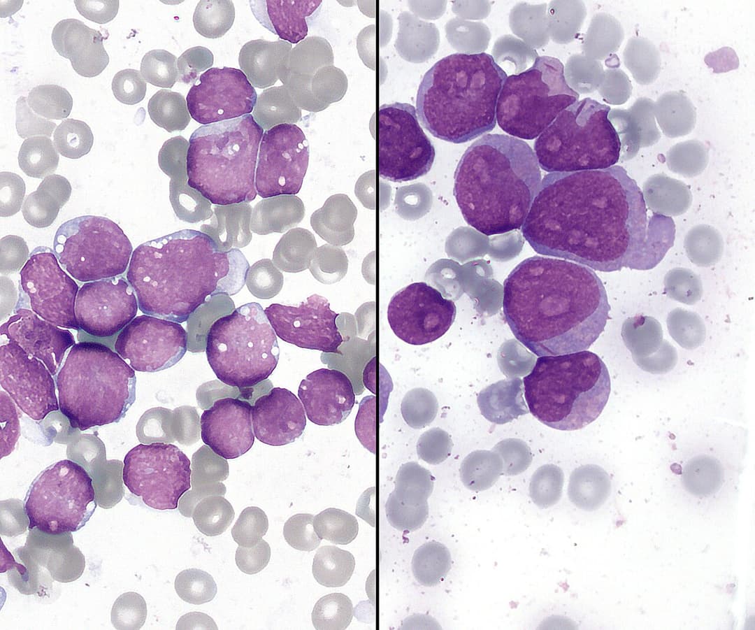
Leukemia (also spelled leukaemia and pronounced luːˈkiːmiːə ) is a group of blood cancers that usually begin in the bone marrow and result in high numbers of abnormal blood cells. These blood cells are not fully developed and are called blasts or leukemia cells. Symptoms may include bleeding and bruising, bone pain, fatigue, fever, and an increased risk of infections. These symptoms occur due to a lack of normal blood cells. Diagnosis is typically made by blood tests or bone marrow biopsy. The exact cause of leukemia is unknown. A combination of genetic factors and environmental (non-inherited) factors are believed to play a role. Risk factors include smoking, ionizing radiation, petrochemicals (such as benzene), prior chemotherapy, and Down syndrome. People with a family history of leukemia are also at higher risk. There are four main types of leukemia—acute lymphoblastic leukemia (ALL), acute myeloid leukemia (AML), chronic lymphocytic leukemia (CLL) and chronic myeloid leukemia (CML)—as well as a number of less common types. Leukemias and lymphomas both belong to a broader group of tumors that affect the blood, bone marrow, and lymphoid system, known as tumors of the hematopoietic and lymphoid tissues. Treatment may involve some combination of chemotherapy, radiation therapy, targeted therapy, and bone marrow transplant, in addition to supportive care and palliative care as needed. Certain types of leukemia may be managed with watchful waiting. The success of treatment depends on the type of leukemia and the age of the person. Outcomes have improved in the developed world. Five-year survival rate is 65% in the United States. In children under 15 in first-world countries, the five-year survival rate is greater than 60% or even 90%, depending on the type of leukemia. In children with acute leukemia who are cancer-free after five years, the cancer is unlikely to return. In 2015, leukemia was present in 2.3 million people worldwide and caused 353,500 deaths. In 2012, it had newly developed in 352,000 people.
Cyrus Kazemiraad, Saeed Mohammadi