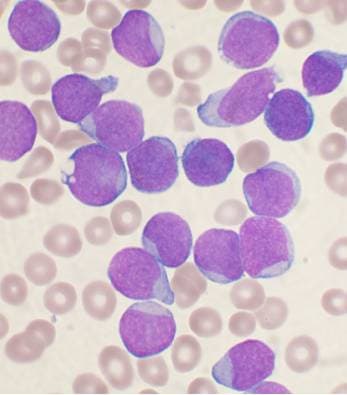
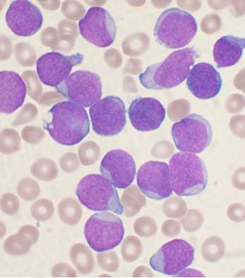
La leucémie (du grec leukos, blanc, et haima, sang) est un cancer des cellules de la moelle osseuse (les cellules de la moelle produisent les cellules sanguines, d'où le terme parfois utilisé de cancer du sang), faisant partie des hémopathies malignes. Les leucémies sont à distinguer des lymphomes qui se développent à partir d'un organe lymphoïde secondaire. Dans certains cas, néanmoins, la distinction est purement nosologique : une leucémie aiguë lymphoblastique et un lymphome lymphoblastique avec envahissement médullaire ne sont pas différenciables, et se traitent de la même façon. Au , ce terme ne désignait qu'une seule maladie, mortelle. Le sang extrait des patients atteints par une leucémie était d'aspect blanchâtre, du fait de l'augmentation du nombre de globules blancs, d'où le nom de leucose. On distingue aujourd'hui de nombreux types de leucémies, qui demandent chacune un traitement spécifique. En 1847, Rudolf Virchow, un médecin histologiste allemand, fut l'un des premiers à décrire la leucémie. Cette maladie débute dans la moelle osseuse. Les cellules leucémiques se comportent de manière anormale en raison d'une modification de leur génome avec une accumulation, au niveau de leur ADN, de mutations acquises qui permettent la transformation de la cellule. Les cellules souches de la moelle osseuse produisent quotidiennement des milliards de globules rouges, de globules blancs et de plaquettes. La leucémie est caractérisée par une prolifération anormale et excessive de précurseurs des globules blancs, bloqués à un stade de différenciation, qui finit par envahir complètement la moelle osseuse puis le sang. S'installe alors un tableau d'insuffisance médullaire, avec production insuffisante de globules rouges (source d'anémie), de globules blancs normaux, polynucléaires principalement (neutropénie, source d'infections graves) et de plaquettes (thrombopénie, source d'hémorragies provoquées ou spontanées). Les cellules leucémiques peuvent également envahir d'autres organes comme les ganglions lymphatiques, la rate, le foie, les testicules ou le système nerveux central.
Cyrus Kazemiraad, Saeed Mohammadi