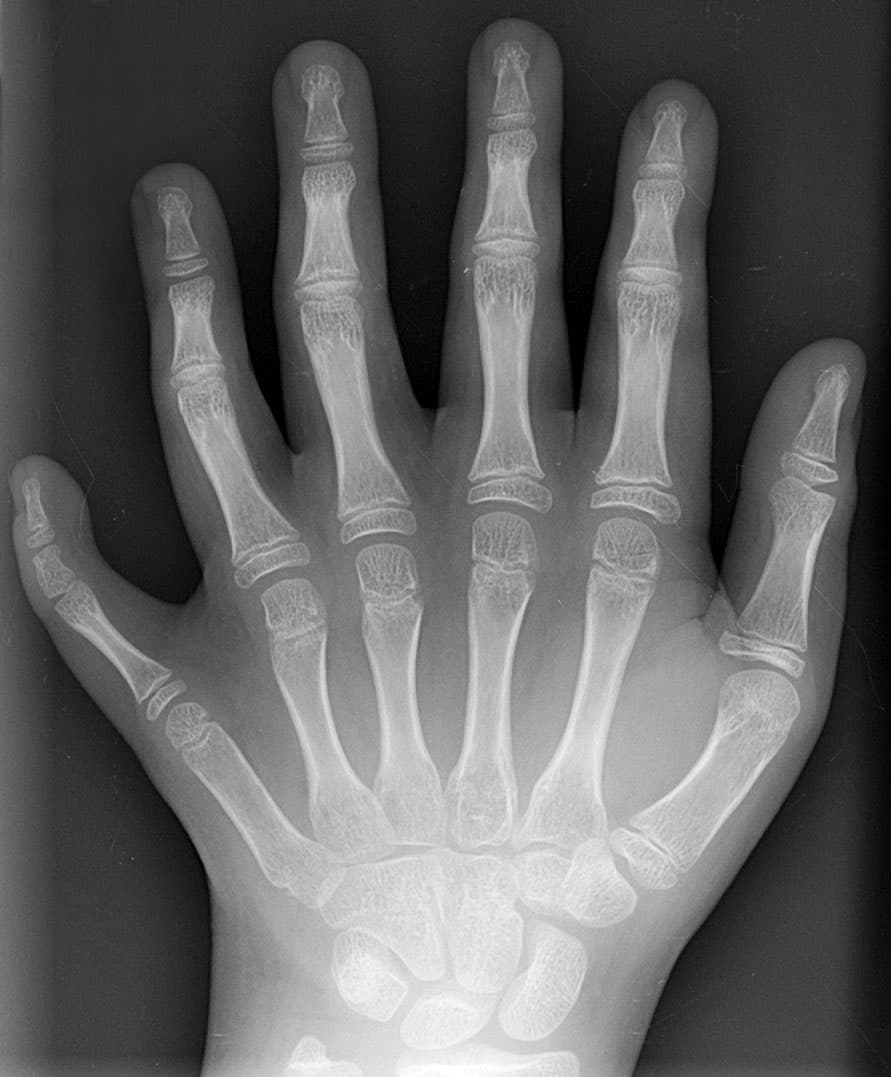
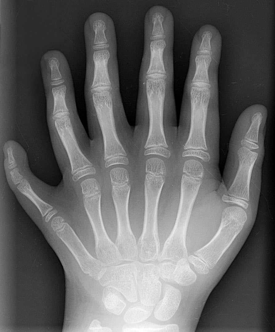
La polydactylie (du grec « poly » : « nombreux » et « dactyle » : « doigts ») se définit comme la présence d’un ou plusieurs doigts supplémentaire(s) au niveau de la main ou d’un ou plusieurs orteils au niveau du pied. Les gènes induisant le développement de la polydactylie sont toujours présents chez les formes actuelles, ce qui suggère que dans l'histoire évolutive du vivant, la polydactylie apparaît comme la condition plésiomorphe pour les tétrapodes, c'est-à-dire la condition primitive initiale du membre marcheur, la pentadactylie n'étant pas la disposition « canonique » de la structure de ce membre marcheur. Cette malformation connue depuis longtemps est décrite dans la Bible. La polydactylie de la main est la plus fréquente des malformations de la main, l'hexadactylie (6 doigts ou orteils) la plus fréquente des polydactylies ( pour mille naissances). On distingue classiquement la polydactylie « préaxiale » de la polydactylie « postaxiale », bien que certains contestent cette classification. La polydactylie est une caractéristique de plusieurs maladies chromosomiques ou génétiques. Elle fait souvent suite à une mutation du gène HoxD 13 entrainant une mauvaise apparition de l'autopod. Définie comme l’existence des doigts supplémentaires du côté de l'ulna ou d’orteils du côté de la fibula (donc du côté du petit doigt). Elle peut être complète : présence d'un doigt bien formé ou plus rudimentaire. Elle est plus fréquente, et moins spécifique que la polydactylie préaxiale. D'après une étude américaine, la polydactylie postaxiale isolée est plus fréquente chez la population noire (1 pour 100) et se transmettrait sur un mode dominant. Elle atteint plus souvent les hommes que les femmes. Dans de rares cas, il peut y avoir présence simultanée de 12 doigts et 12 orteils. Un cas exceptionnel d'enfant naissant avec 14 doigts et 20 orteils, né en 2010, a été découvert en Inde. Cinq ans plus tôt, un enfant chinois était né avec 15 doigts et 16 orteils.
Denis Duboule, Christopher Chase Bolt, Lucille Delisle
Denis Duboule, Suliana Manley, Aleksandr Benke, Pierre Raymond Fabre