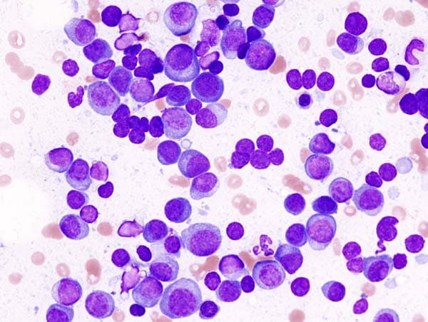
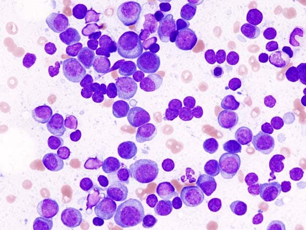
Multiple myeloma (MM), also known as plasma cell myeloma and simply myeloma, is a cancer of plasma cells, a type of white blood cell that normally produces antibodies. Often, no symptoms are noticed initially. As it progresses, bone pain, anemia, kidney dysfunction, and infections may occur. Complications may include amyloidosis. The cause of multiple myeloma is unknown. Risk factors include obesity, radiation exposure, family history, age and certain chemicals. There is an increased risk of multiple myeloma in certain occupations. This is due to the occupational exposure to aromatic hydrocarbon solvents having a role in causation of multiple myeloma. Multiple myeloma may develop from monoclonal gammopathy of undetermined significance (MGUS) that progresses to smoldering myeloma. The abnormal plasma cells produce abnormal antibodies, which can cause kidney problems and overly thick blood. The plasma cells can also form a mass in the bone marrow or soft tissue. When one tumor is present, it is called a plasmacytoma; more than one is called multiple myeloma. Multiple myeloma is diagnosed based on blood or urine tests finding abnormal antibody proteins - (often using electrophoretic techniques revealing the presence of a monoclonal spike in the results - termed an m-spike), bone marrow biopsy finding cancerous plasma cells, and medical imaging finding bone lesions. Another common finding is high blood calcium levels. Multiple myeloma is considered treatable, but generally incurable. Remissions may be brought about with steroids, chemotherapy, targeted therapy, and stem cell transplant. Bisphosphonates and radiation therapy are sometimes used to reduce pain from bone lesions. Globally, about 175,000 people were diagnosed with the disease in 2020, while about 117,000 people died from the disease that year. In the U.S., forecasts suggest about 35,000 people will be diagnosed with the disease in 2023, and about 12,000 people will die from the disease that year. In 2020, there were an estimated 170,405 people living with myeloma in the U.
Henning Paul-Julius Stahlberg, Amanda Jennifer Lewis, Marta Di Fabrizio, Domenic Burger, Carolin Böing
Alain Nussbaumer, Scott Walbridge, Matthew James Sjaarda