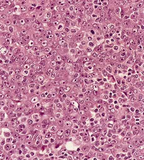
Le carcinome du nasopharynx est un cancer se développant à partir des cellules épithéliales du nasopharynx. Il fait partie des cancers des voies aérodigestives supérieures. Il s'agit du cancer épithélial le plus fréquent chez l'adulte. Cette tumeur peut rester localisée ou s'étendre vers la base du crâne, l'oropharynx, la cavité buccale et le palais. Les métastases sont typiquement des métastases ganglionnaires cervicales. Ces métastases sont souvent le mode de diagnostic de ce cancer. La biopsie donnant le diagnostic. Les autres signes comprennent douleur, trismus, otite, régurgitation nasale par parésie nerveuse, perte de l'audition et paralysie de nerfs crâniens. Plusieurs causes sont identifiées : l'infection à virus d'Epstein-Barr, des facteurs génétiques et des facteurs environnementaux comme les nitrosamines. Le traitement repose sur la radiothérapie, la chimiothérapie et l'utilisation d'interféron. Il s'agit du cancer épithélial le plus fréquent chez l'adulte mais il peut apparaître dès l'enfance, puisqu'au Royaume-Uni l'incidence annuelle varie de 0,3 entre 0 et 14 ans, à 2 cas pour un million d'habitants entre 15 et 19 ans. Certaines populations ont une incidence plus élevée comme en Chine et en Tunisie. Ce cancer est responsable d'un tiers des cancers du rhinopharynx. La première description de ce cancer date de 1921. La détection d'ADN viral du virus d'Epstein-Barr dans le carcinome du nasopharynx des enfants, et particulièrement dans les types 2 et 3, montre que ce virus est un des facteurs dans la carcinogenèse. Mais la carcinogenèse est un processus multifactoriel. Il semble que le taux de l'ADN détectable dans le plasma des malades soit corrélé avec la réponse au traitement et au risque de récidive. Chez les adultes plusieurs autres facteurs sont en cause : facteurs génétiques, alimentation (particulièrement le poisson salé) contenant des nitrosamines volatiles. Les métastases ganglionnaires sont souvent le mode de révélation de ce cancer. La biopsie donnant le diagnostic.