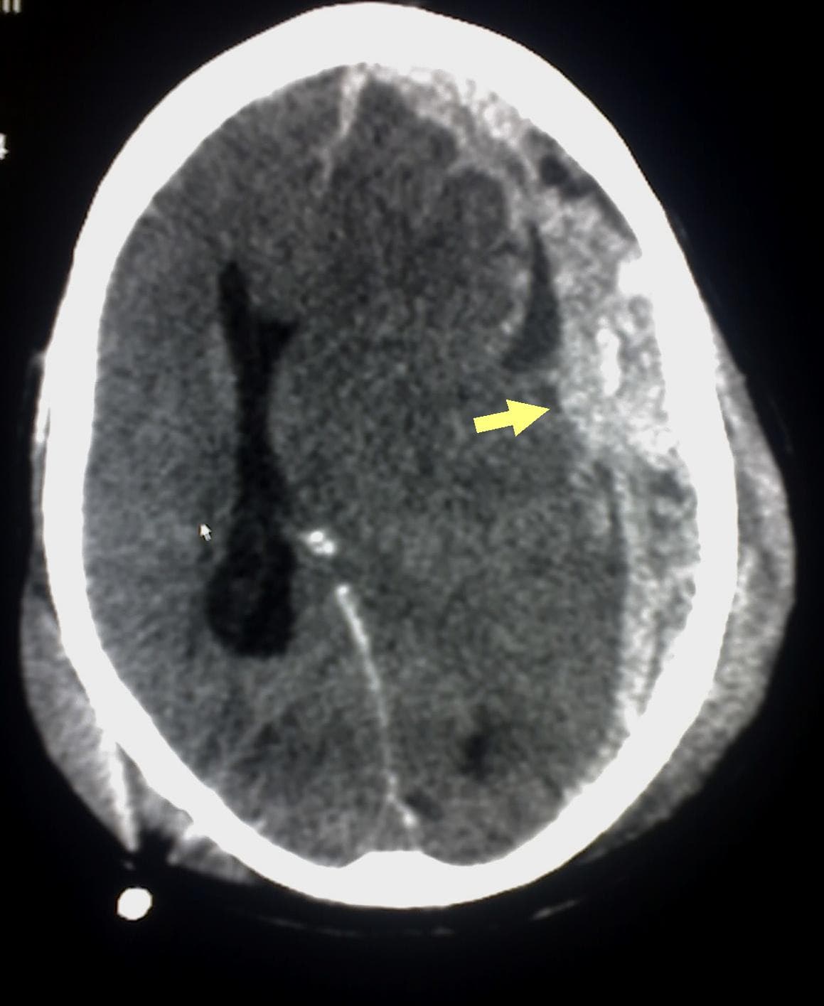
L'hématome sous-dural, ou hémorragie sous-durale, désigne l'épanchement de sang dans les espaces méningés. À la suite d'un traumatisme crânien avec lésion des petites veinules qui traversent l'espace sous-dural, l'hémorragie a lieu entre l'arachnoïde qui entoure le cerveau et le feuillet interne de la dure-mère qui est en contact avec la boîte crânienne. L'hématome ne peut pas traverser de l'autre côté du cerveau par rapport au côté d'origine de l'hémorragie. En effet, la faux du cerveau sépare en deux l'espace sous-dural. Les hématomes sous-duraux peuvent causer une augmentation de la pression intracrânienne, avec compression et lésion du cerveau. Le syndrome du bébé secoué est une cause fréquente de l'hématome sous-dural chez les enfants de moins de 6 mois. On attribuait généralement ce secouement à un parent ou un soignant qui, excédé par les pleurs de l'enfant et en désespoir de cause, le secoue pour le faire taire. Or en 2017, des statistiques affirment qu'un bébé secoué l'a été en moyenne 10 fois, ce qui invalide cette ancienne représentation des choses. 13 à 40 % des enfants ainsi secoués décèdent, et les survivants ont généralement des séquelles à vie. Elle est basée sur la vitesse à laquelle ils surviennent. On peut distinguer : l'hématome sous-dural aigu C'est une urgence médicale, avec une détérioration neurologique aiguë due à une augmentation de la pression intracrânienne. Le taux de mortalité est élevé si un drainage chirurgical n'est pas fait. Un syndrome d'hypertension intracrânienne. Les hémorragies aiguës se développent fréquemment après une subite accélération/décélération. Le pronostic est plus grave s'il y a une contusion cérébrale associée. Cependant, même si l'hématome sous-dural se développe rapidement, il est moins rapide que l'hématome épidural qui est dû à une rupture d'une ou plusieurs artères. Le taux de mortalité associé à l'hématome sous-dural aigu est compris entre 60 % et 80 %. l'hématome sous-dural chronique Il se développe lentement, le sang coagule et devient encapsulé dans du tissu fibrotique.
Dimitri Nestor Alice Van De Ville, Nicolas Gninenko