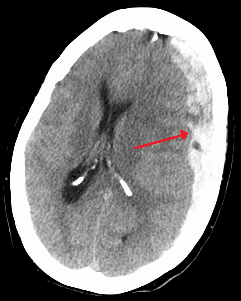
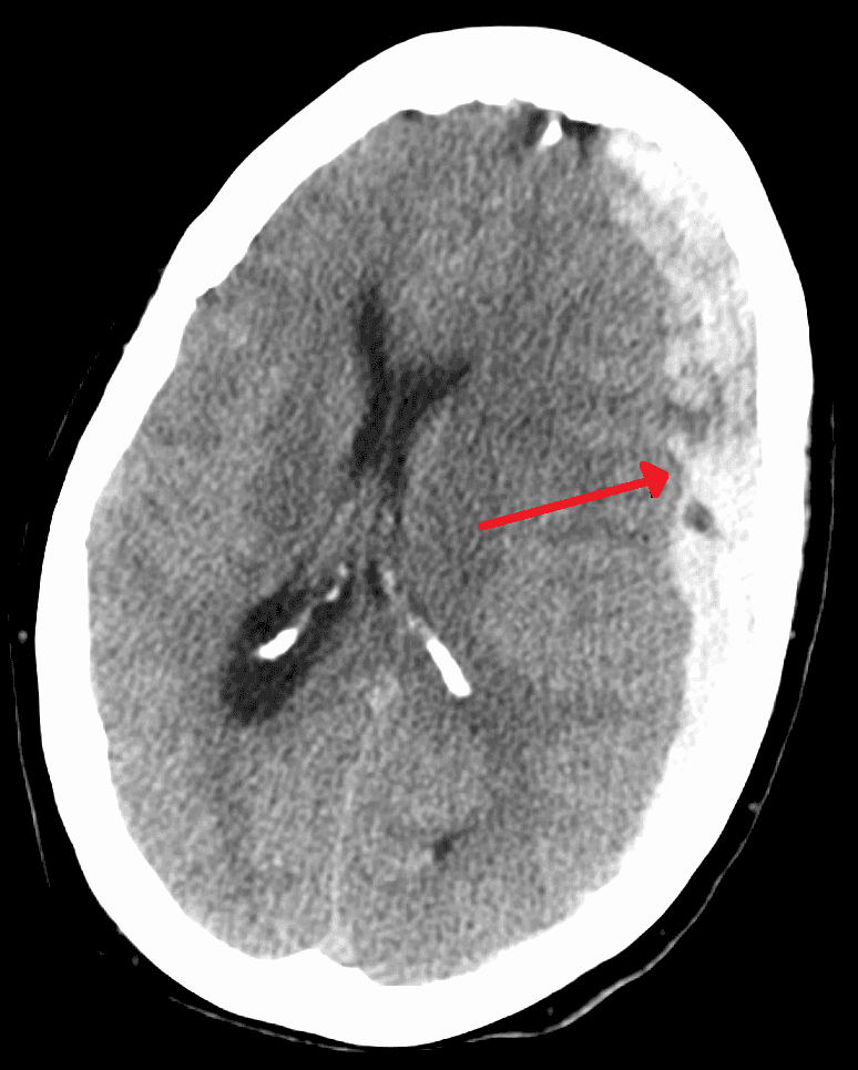
Le syndrome du bébé secoué (SBS) _ ou Traumatisme crânien infligé par secouement (TCIS) _ est un ensemble de signes cliniques concernant un nourrisson : hématome sous-dural,hémorragie rétinienne, œdème cérébral, ce que l'on appelle parfois la « triade ». Ils indiquent dans la plupart des cas que l'enfant a subi une violence physique, généralement que l'enfant a été secoué par un adulte. Plus précisément que la tête a été secouée en tenant le bébé par le tronc, ce mouvement de va-et-vient amplifiant le choc traumatique. Ceci pouvant être associé à un impact ou l'effet d'un impact sans secouement. Ce diagnostic clinique fait l'objet d'un consensus médical que l'on retrouve dans le diagnostics différentiels proposé par la HAS en 2017. Néanmoins, comme il sous entend une maltraitance grave, il est l'objet de controverses médico-légales visant à décorréler ce diagnostique médical d'un "diagnostique de maltraitance" en évoquant par exemple l'existence de maladies rares provoquant des symptômes similaires. L'enjeu étant que ce syndrome crée une très forte suspicion de maltraitance sur mineur qu'en France le soignant à l'obligation légale de signaler aux autorités afin qu'elles puissent procéder à une enquête, celle-ci pouvant aboutir dans certains cas à une qualification de crime et un jugement en cours d'assise. En France, le ministère de la santé rappel en 2022 que "Le syndrome du bébé secoué n’est généralement pas une violence isolée". Un bébé secoué l'à été en moyenne 10 fois. Le taux de récidive est de plus de 50 %. L'enfant décède dans 10 à 40 % des cas, 20% selon santé publique France en 2019. Et 75% des survivants conservent des séquelles graves à vie, dont souvent des « handicaps invisibles ». La cause du secouement est réputée être un adulte qui "craque" excédé par les pleurs de l'enfant, principe remis en cause par des mères de victimes. Dans les cas reconnus, 50% sont le fait du père, 20% d'un beau-père, 20% d'une personne extérieure, et 10% sont le fait de la mère.
Dimitri Nestor Alice Van De Ville, François Lazeyras, Lorena Gonçalves de Alcântara e Freitas Krikler