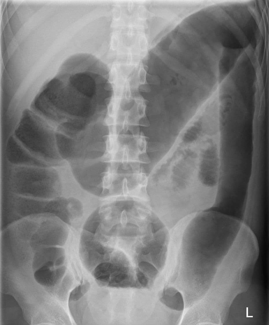
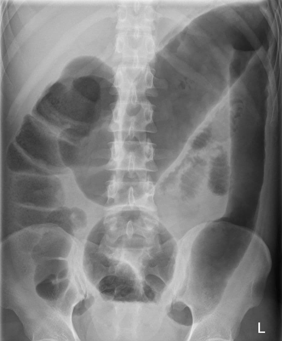
Megacolon is an abnormal dilation of the colon (also called the large intestine). This leads to hypertrophy of the colon. The dilation is often accompanied by a paralysis of the peristaltic movements of the bowel. In more extreme cases, the feces consolidate into hard masses inside the colon, called fecalomas (literally, fecal tumor), which can require surgery to be removed. A human colon is considered abnormally enlarged if it has a diameter greater than 12 cm in the cecum (it is usually less than 9 cm), greater than 6.5 cm in the rectosigmoid region and greater than 8 cm for the ascending colon. The transverse colon is usually less than 6 cm in diameter. A megacolon can be either acute or chronic. It can also be classified according to cause. External signs and symptoms are constipation of very long duration, abdominal bloating, abdominal tenderness and tympany, abdominal pain, palpation of hard fecal masses and, in toxic megacolon, fever, low blood potassium, tachycardia and may lead to shock. Stercoral ulcers are sometimes observed in chronic megacolon, which may lead to perforation of the intestinal wall in approximately 3% of the cases, leading to sepsis and risk of death. Congenital or aganglionic megacolon Medication Acquired megacolon, of which there are several possible causes: Idiopathic megacolon Toxic megacolon Megacolon secondary to infection Clostridium difficile Trypanosoma cruzi (Chagas disease) Pheochromocytoma, possibly secondary to its presenting constipation. Other neurologic, systemic and metabolic diseases Also called Hirschsprung's disease, it is a congenital disorder of the colon in which nerve cells of the myenteric plexus in its walls, also known as ganglion cells, are absent. It is a rare disorder (1:5 000), with prevalence among males being four times that of females. Hirschsprung's disease develops in the fetus during the early stages of pregnancy. A genetic predisposition to Hirschsprung's disease has been linked to chromosome 13 where a missense mutation at an ultraconserved region impairs functionality of the W276C receptor.