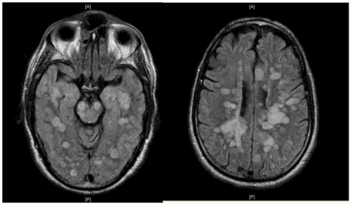
Acute disseminated encephalomyelitis (ADEM), or acute demyelinating encephalomyelitis, is a rare autoimmune disease marked by a sudden, widespread attack of inflammation in the brain and spinal cord. As well as causing the brain and spinal cord to become inflamed, ADEM also attacks the nerves of the central nervous system and damages their myelin insulation, which, as a result, destroys the white matter. The cause is often a trigger such as from viral infection or vaccinations. ADEM's symptoms resemble the symptoms of multiple sclerosis (MS), so the disease itself is sorted into the classification of the multiple sclerosis borderline diseases. However, ADEM has several features that distinguish it from MS. Unlike MS, ADEM occurs usually in children and is marked with rapid fever, although adolescents and adults can get the disease too. ADEM consists of a single flare-up whereas MS is marked with several flare-ups (or relapses), over a long period of time. Relapses following ADEM are reported in up to a quarter of patients, but the majority of these 'multiphasic' presentations following ADEM likely represent MS. ADEM is also distinguished by a loss of consciousness, coma and death, which is very rare in MS, except in severe cases. It affects about 8 per 1,000,000 people per year. Although it occurs in all ages, most reported cases are in children and adolescents, with the average age around 5 to 8 years old. The disease affects males and females almost equally. ADEM shows seasonal variation with higher incidence in winter and spring months which may coincide with higher viral infections during these months. The mortality rate may be as high as 5%; however, full recovery is seen in 50 to 75% of cases with increase in survival rates up to 70 to 90% with figures including minor residual disability as well. The average time to recover from ADEM flare-ups is one to six months. ADEM produces multiple inflammatory lesions in the brain and spinal cord, particularly in the white matter.
Dimitri Nestor Alice Van De Ville, Alessandra Griffa, Alexandre Cionca, Idris Guessous
Tobias Kober, Bénédicte Marie Maréchal