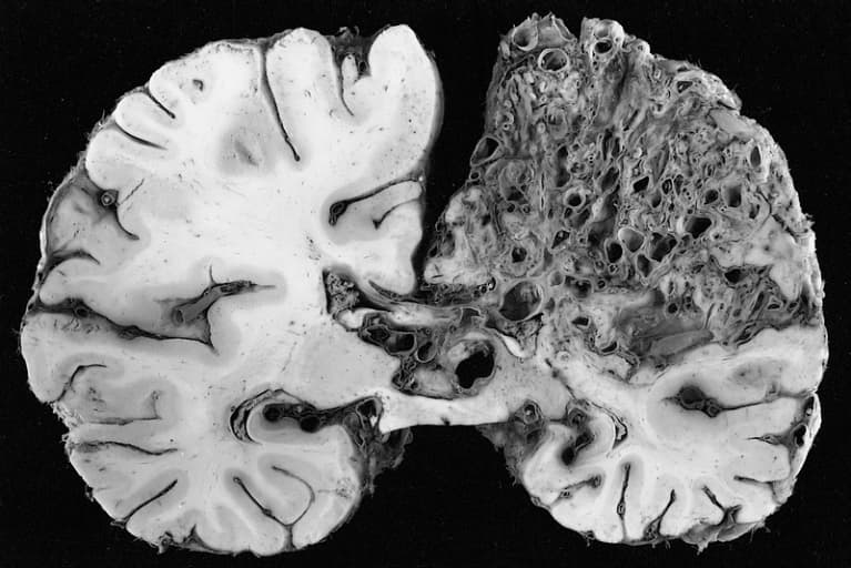
A cerebral arteriovenous malformation (cerebral AVM, CAVM, cAVM, brain AVM, or BAVM) is an abnormal connection between the arteries and veins in the brain—specifically, an arteriovenous malformation in the cerebrum. The most frequently observed problems related to a cerebral arteriovenous malformation (AVM) are headaches and seizures, cranial nerve afflictions including pinched nerve and palsy, backaches, neckaches, and nausea from coagulated blood that has made its way down to be dissolved in the cerebrospinal fluid. Perhaps 15% of the population at detection are asymptomatic. Other common symptoms are a pulsing noise in the head, progressive weakness, numbness and vision changes as well as debilitating, excruciating pain. In serious cases, blood vessels rupture and cause bleeding within the brain (intracranial hemorrhage). In more than half of patients with AVM, this is the first symptom. Symptoms due to bleeding include loss of consciousness, sudden and severe headache, nausea, vomiting, incontinence, and blurred vision, amongst others. Impairments caused by local brain-tissue damage on the bleed site are also possible, including seizure, one-sided weakness (hemiparesis), a loss of touch sensation on one side of the body and deficits in language processing (aphasia). Ruptured AVMs are responsible for considerable mortality and morbidity. AVMs in certain critical locations may stop the circulation of the cerebrospinal fluid, causing it to accumulate within the skull and giving rise to a clinical condition called hydrocephalus. A stiff neck can occur as the result of increased pressure within the skull and irritation of the meninges. A cerebral AVM is an abnormal anastomosis (connection) between the arteries and veins in the human brain and are most commonly of prenatal origin. In a normal brain, oxygen-enriched blood from the heart travels in sequence through smaller blood vessels going from arteries, to arterioles and then capillaries. Oxygen is removed in the capillaries to be used by the brain.
Farnaz Delavari, Charles Laidi
Friedhelm Christoph Hummel, Jian Wang