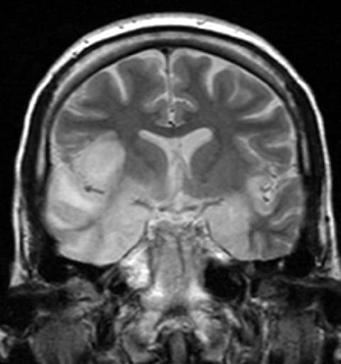
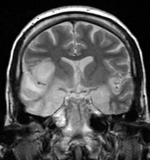
Encephalitis is inflammation of the brain. The severity can be variable with symptoms including reduction or alteration in consciousness, headache, fever, confusion, a stiff neck, and vomiting. Complications may include seizures, hallucinations, trouble speaking, memory problems, and problems with hearing. Causes of encephalitis include viruses such as herpes simplex virus and rabies virus as well as bacteria, fungi, or parasites. Other causes include autoimmune diseases and certain medications. In many cases the cause remains unknown. Risk factors include a weak immune system. Diagnosis is typically based on symptoms and supported by blood tests, medical imaging, and analysis of cerebrospinal fluid. Certain types are preventable with vaccines. Treatment may include antiviral medications (such as acyclovir), anticonvulsants, and corticosteroids. Treatment generally takes place in hospital. Some people require artificial respiration. Once the immediate problem is under control, rehabilitation may be required. In 2015, encephalitis was estimated to have affected 4.3 million people and resulted in 150,000 deaths worldwide. Adults with encephalitis present with acute onset of fever, headache, confusion, and sometimes seizures. Younger children or infants may present with irritability, poor appetite and fever. Neurological examinations usually reveal a drowsy or confused person. Stiff neck, due to the irritation of the meninges covering the brain, indicates that the patient has either meningitis or meningoencephalitis. Viral encephalitis and Herpesviral encephalitis Viral encephalitis can occur either as a direct effect of an acute infection, or as one of the sequelae of a latent infection. The majority of viral cases of encephalitis have an unknown cause, however the most common identifiable cause of viral encephalitis is from herpes simplex infection. Other causes of acute viral encephalitis are rabies virus, poliovirus, and measles virus. Additional possible viral causes are arboviral flavivirus (St.