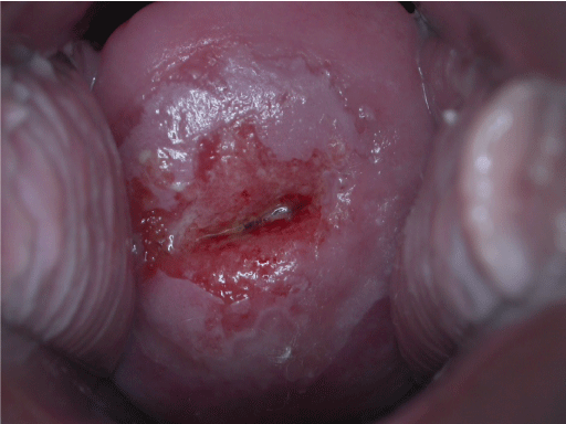
Cervical intraepithelial neoplasia (CIN), also known as cervical dysplasia, is the abnormal growth of cells on the surface of the cervix that could potentially lead to cervical cancer. More specifically, CIN refers to the potentially precancerous transformation of cells of the cervix. CIN most commonly occurs at the squamocolumnar junction of the cervix, a transitional area between the squamous epithelium of the vagina and the columnar epithelium of the endocervix. It can also occur in vaginal walls and vulvar epithelium. CIN is graded on a 1–3 scale, with 3 being the most abnormal (see classification section below). Human papillomavirus (HPV) infection is necessary for the development of CIN, but not all with this infection develop cervical cancer. Many women with HPV infection never develop CIN or cervical cancer. Typically, HPV resolves on its own. However, those with an HPV infection that lasts more than one or two years have a higher risk of developing a higher grade of CIN. Like other intraepithelial neoplasias, CIN is not cancer and is usually curable. Most cases of CIN either remain stable or are eliminated by the person's immune system without need for intervention. However, a small percentage of cases progress to cervical cancer, typically cervical squamous cell carcinoma (SCC), if left untreated. Cervical cancer#Signs and symptoms There are no specific symptoms of CIN alone. Generally, signs and symptoms of cervical cancer include: abnormal or post-menopausal bleeding abnormal discharge changes in bladder or bowel function pelvic pain on examination abnormal appearance or palpation of cervix. HPV infection of the vulva and vagina can cause genital warts or be asymptomatic. The cause of CIN is chronic infection of the cervix with HPV, especially infection with high-risk HPV types 16 or 18. It is thought that the high-risk HPV infections have the ability to inactivate tumor suppressor genes such as the p53 gene and the RB gene, thus allowing the infected cells to grow unchecked and accumulate successive mutations, eventually leading to cancer.
Jean-Philippe Thiran, Thomas Grégoire Stegmüller, Micol Murtas
Daniele Tavernari, Giovanni Ciriello