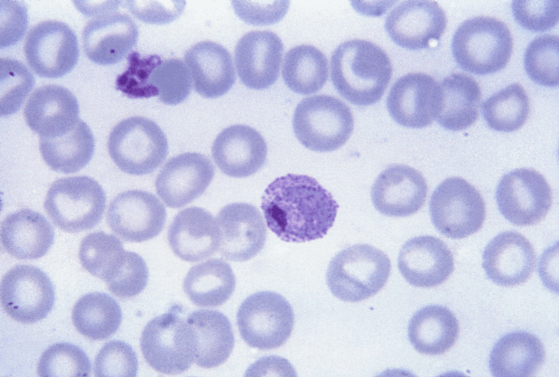
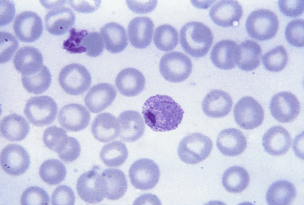
Plasmodium vivax is a protozoal parasite and a human pathogen. This parasite is the most frequent and widely distributed cause of recurring malaria. Although it is less virulent than Plasmodium falciparum, the deadliest of the five human malaria parasites, P. vivax malaria infections can lead to severe disease and death, often due to splenomegaly (a pathologically enlarged spleen). P. vivax is carried by the female Anopheles mosquito; the males do not bite. Plasmodium vivax is found mainly in Asia, Latin America, and in some parts of Africa. P. vivax is believed to have originated in Asia, but recent studies have shown that wild chimpanzees and gorillas throughout central Africa are endemically infected with parasites that are closely related to human P. vivax. These findings indicate that human P. vivax is of African origin. Plasmodium vivax accounts for 65% of malaria cases in Asia and South America. Unlike Plasmodium falciparum, Plasmodium vivax is capable of undergoing sporogonic development in the mosquito at lower temperatures. It has been estimated that 2.5 billion people are at risk of infection with this organism. Although the Americas contribute 22% of the global area at risk, high endemic areas are generally sparsely populated and the region contributes only 6% to the total population at risk. In Africa, the widespread lack of the Duffy antigen in the population has ensured that stable transmission is constrained to Madagascar and parts of the Horn of Africa. It contributes 3.5% of global population at risk. Central Asia is responsible for 82% of global population at risk with high endemic areas coinciding with dense populations particularly in India and Myanmar. South East Asia has areas of high endemicity in Indonesia and Papua New Guinea and overall contributes 9% of global population at risk. P. vivax is carried by at least 71 mosquito species. Many vivax vectors thrive in temperate climates—as far north as Finland. Some prefer to bite outdoors or during the daytime, hampering the effectiveness of indoor insecticide and bed nets.
Francesco Stellacci, Matteo Gasbarri
Vassily Hatzimanikatis, Jasmin Maria Hafner, Homa Mohammadi Peyhani, Noushin Hadadi, Anush Chiappino-Pepe