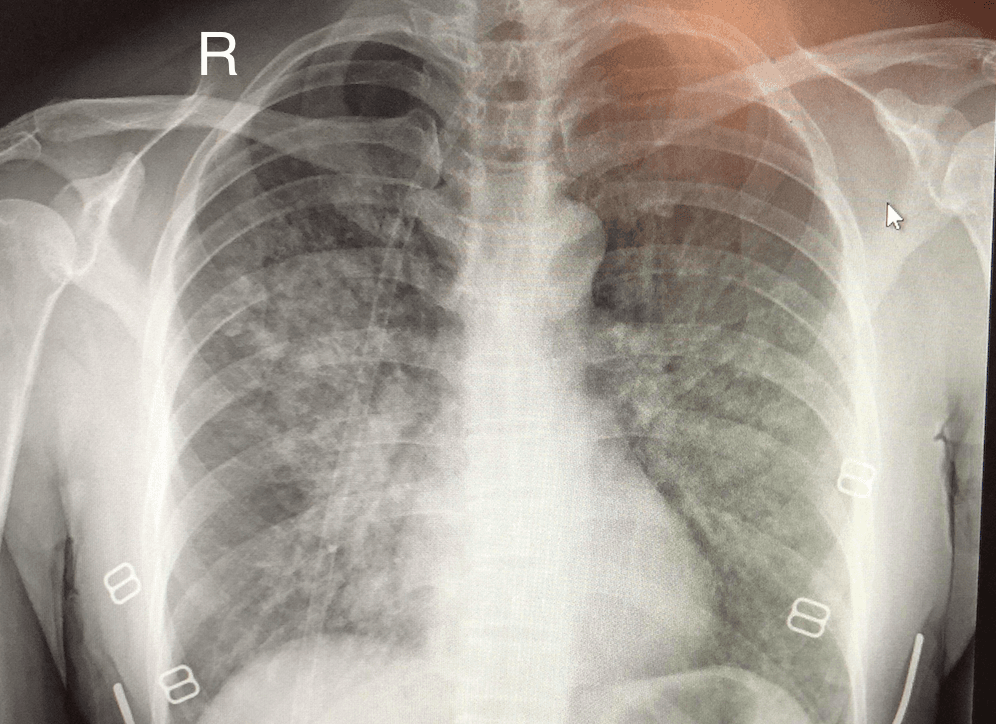
High-altitude pulmonary edema (HAPE) is a life-threatening form of non-cardiogenic pulmonary edema that occurs in otherwise healthy people at altitudes typically above . However, cases have also been reported between in more vulnerable subjects. Classically, HAPE occurs in persons normally living at low altitude who travel to an altitude above 2,500 meters (8,200 feet). Re-entry HAPE is also an entity that has been described in persons who normally live at high altitude but who develop pulmonary edema after returning from a stay at low altitude. It is severe presentation of altitude sickness. There are many factors that can make a person more susceptible to developing HAPE, including genetic factors, but detailed understanding is lacking and currently under investigation. HAPE remains the major cause of death related to high-altitude exposure, with a high mortality rate in the absence of adequate emergency treatment. Physiological and symptomatic changes often vary according to the altitude involved. The Lake Louise Consensus Definition for high-altitude pulmonary edema has set widely used criteria for defining HAPE symptoms. In the presence of a recent gain in altitude, the presence of the following: Symptoms: at least two of: Shortness of breath at rest Cough Weakness or decreased exercise performance Chest tightness or congestion Signs: at least two of: Crackles or wheezing (while breathing) in at least one lung field Central blue skin color Tachypnea (rapid breathing) Tachycardia (rapid heart rate) Acute mountain sickness and high altitude cerebral edema may also be present in conjunction with HAPE, however these symptoms may be subtle or not present at all. The most reliable sign of HAPE is severe fatigue or exercise intolerance, especially in a climber that was previously not displaying this symptom. There are multiple factors that can contribute to the development of HAPE, including sex (male), genetic factors, prior development of HAPE, ascent rate, cold exposure, peak altitude, intensity of physical exertion, and certain underlying medical conditions (e.
Nikolaos Stergiopoulos, Georgios Rovas, Vasiliki Bikia, Stamatia Zoi Pagoulatou