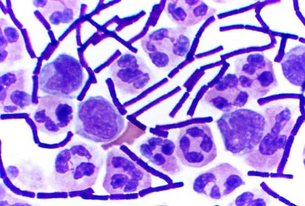
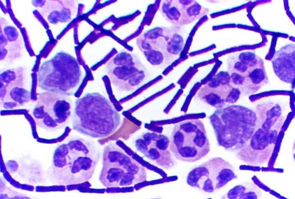
In bacteriology, gram-positive bacteria are bacteria that give a positive result in the Gram stain test, which is traditionally used to quickly classify bacteria into two broad categories according to their type of cell wall. Gram-positive bacteria take up the crystal violet stain used in the test, and then appear to be purple-coloured when seen through an optical microscope. This is because the thick peptidoglycan layer in the bacterial cell wall retains the stain after it is washed away from the rest of the sample, in the decolorization stage of the test. Conversely, gram-negative bacteria cannot retain the violet stain after the decolorization step; alcohol used in this stage degrades the outer membrane of gram-negative cells, making the cell wall more porous and incapable of retaining the crystal violet stain. Their peptidoglycan layer is much thinner and sandwiched between an inner cell membrane and a bacterial outer membrane, causing them to take up the counterstain (safranin or fuchsine) and appear red or pink. Despite their thicker peptidoglycan layer, gram-positive bacteria are more receptive to certain cell wall–targeting antibiotics than gram-negative bacteria, due to the absence of the outer membrane. In general, the following characteristics are present in gram-positive bacteria: Cytoplasmic lipid membrane Thick peptidoglycan layer Teichoic acids and lipoids are present, forming lipoteichoic acids, which serve as chelating agents, and also for certain types of adherence. Peptidoglycan chains are cross-linked to form rigid cell walls by a bacterial enzyme DD-transpeptidase. A much smaller volume of periplasm than that in gram-negative bacteria. Only some species have a capsule, usually consisting of polysaccharides. Also, only some species are flagellates, and when they do have flagella, have only two basal body rings to support them, whereas gram-negative have four. Both gram-positive and gram-negative bacteria commonly have a surface layer called an S-layer. In gram-positive bacteria, the S-layer is attached to the peptidoglycan layer.
Camille Véronique Bernadette Goemans, Christian Eugen Zimmerli, Martin Beck
Tamar Kohn, Athanasios Nenes, Ghislain Gilles Jean-Michel Motos, Htet Kyi Wynn, Kalliopi Violaki, Céline Terrettaz, Aline Laetitia Schaub, Walter Hugentobler, Shannon Christa David, Laura José Costa Henriques, Daniel Scott Nolan, Marta Augugliaro
Sandor Kasas, María Inés Villalba, Allan Bonvallat, Eugenia Rossetti