Skip to main content
Concept

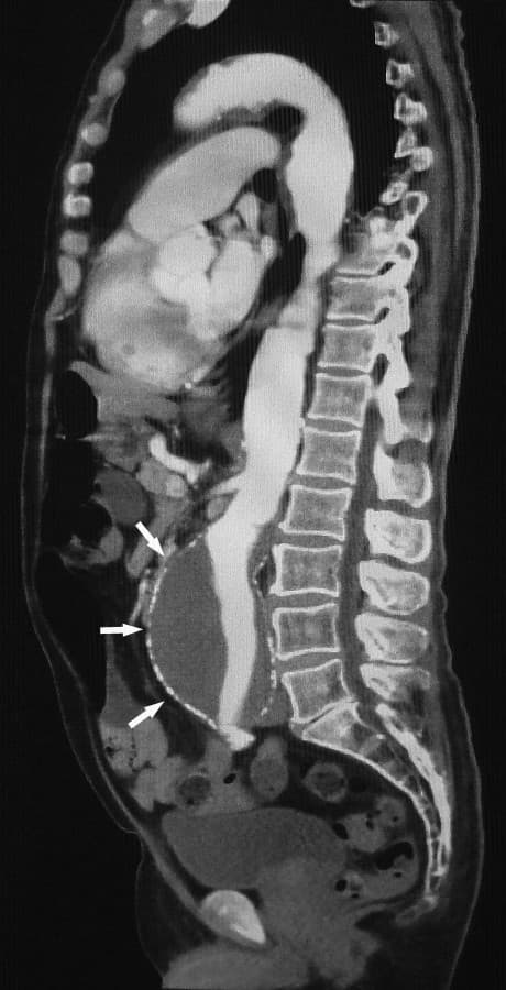
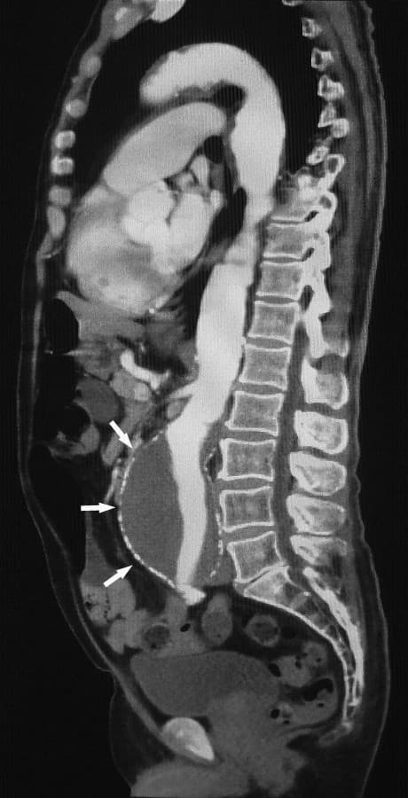
Computed tomography angiography