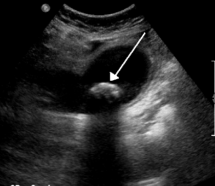
Biliary colic, also known as symptomatic cholelithiasis, a gallbladder attack or gallstone attack, is when a colic (sudden pain) occurs due to a gallstone temporarily blocking the cystic duct. Typically, the pain is in the right upper part of the abdomen, and can be severe. Pain usually lasts from 15 minutes to a few hours. Often, it occurs after eating a heavy meal, or during the night. Repeated attacks are common. Gallstone formation occurs from the precipitation of crystals that aggregate to form stones. The most common form is cholesterol gallstones. Other forms include calcium, bilirubin, pigment, and mixed gallstones. Other conditions that produce similar symptoms include appendicitis, stomach ulcers, pancreatitis, and gastroesophageal reflux disease. Treatment for gallbladder attacks is typically surgery to remove the gallbladder. This can be either done through small incisions or through a single larger incision. Open surgery through a larger incision is associated with more complications than surgery through small incisions. Surgery is typically done under general anesthesia. In those who are unable to have surgery, medication to try to dissolve the stones or shock wave lithotripsy may be tried. it is not clear whether surgery is indicated for everyone with biliary colic. In the developed world, 10 to 15% of adults have gallstones. Of those with gallstones, biliary colic occurs in 1 to 4% each year. Nearly 30% of people have further problems related to gallstones in the year following an attack. About 15% of people with biliary colic eventually develop inflammation of the gallbladder if not treated. Other complications include inflammation of the pancreas. Pain is the most common presenting symptom. It is usually described as sharp, crampy, dull or severe right upper quadrant pain, which may radiate to the right shoulder, or less commonly, behind the breastbone. Nausea and vomiting can be associated with biliary colic. Individuals may also present with pain that is induced following a fatty meal and the symptom of indigestion.