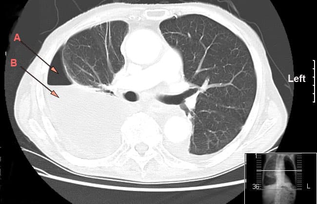
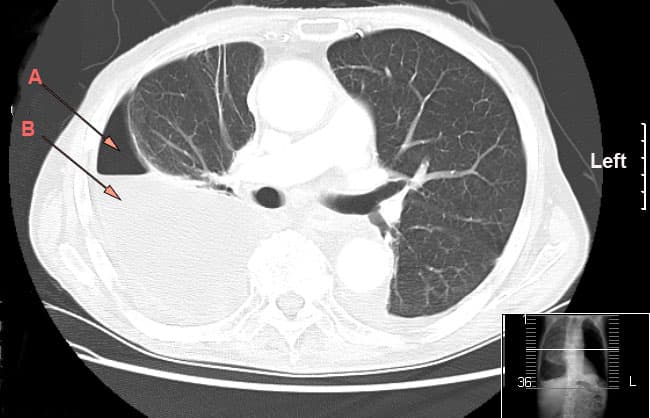
Une pleurésie purulente, ou empyème pleural, est une infection bactérienne aiguë de la cavité pleurale, survenant souvent à la suite d'une pneumopathie. Lorsque les deux infections sont contemporaines, on parle de pleuropneumopathie. Une pleurésie purulente est l'accumulation dans l'espace pleural, qui sépare le poumon de la paroi thoracique, d'un liquide infecté par une bactérie. Le terme d'empyème est également utilisé, ainsi que celui de pyothorax. Lorsqu'il existe une infection du poumon concomitante, on parle de pleuropneumopathie ou pleuropneumonie. alt=Gravure d'un buste d'homme âgé, barbu, partiellement chauve et vêtu d'une toge.|vignette|220x220px|Représentation traditionnelle d'Hippocrate. Hippocrate est considéré comme le premier à avoir décrit les infections de la plèvre, sans reconnaitre l'existence exacte de la plèvre. On reconnait cependant des pleurésies purulentes dans un ensemble d'affections, lorsqu'il décrit la peripneumonia (pneumonie actuelle) et la pleuritis (du grec pleuron, côté) qui peuvent toutes deux se transformer en empuos (abcès broncho-pulmonaire aussi bien que pleurésie purulente). L'aboutissement purulent d'une infection pulmonaire est un modèle pour la médecine hippocratique, avec les notions de coction (temps préparatoire de « cuisson » des humeurs), de crisis (paroxysme où le malade meurt ou réchappe), et de lysis (guérison par dissolution ou évacuation). « Quant à la suite de la péripneumonie un abcès se forme, il y a fièvre, toux sèche, dyspnée ; les pieds enflent, les ongles des mains et des pieds se rétractent [ hippocratisme digital ]. »Hippocrate indique que l'empuos peut s'évacuer par les bronches (il donne des recettes alimentaires pour aider l'expectoration), se rompre ou demeurer dans la « cavité » (pleurale pour un moderne) dont la seule issue est chirurgicale :« Au bout de quelque temps, la fièvre augmente, le côté devient douloureux ; le décubitus, impossible sur le côté sain, est possible sur le côté affecté (...
Hubert van den Bergh, Georges Wagnières