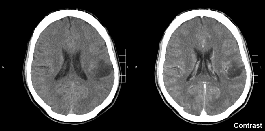
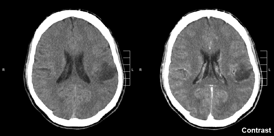
Les gliomes ou tumeurs gliales sont l'ensemble des tumeurs cérébrales, bénignes ou malignes, issues du tissu de soutien neuronal ou glie. Ce sont des tumeurs rares, dont le pronostic, extrêmement variable, est principalement lié à plusieurs facteurs parmi lesquels la localisation, la taille, le degré d'extension ou certains facteurs immunitaires. Elles justifient toujours une prise en charge dans un service spécialisé afin d'adapter au mieux le projet de soins à la situation du patient. Selon l'IARC/OMS, l'utilisation fréquente du téléphone portable en est l'une des causes potentielles. Ces cancers sont rares mais représentent environ la moitié des tumeurs primitives du cerveau, le glioblastome étant la forme la plus commune. Dans le monde en 2018, il y a eu environ cas incidents et décès dus à des cancers du cerveau et d'autres cancers du système nerveux. La majorité (80 %) des tumeurs cérébrales malignes sont des gliomes. Leur incidence est environ de pour . Le pic de fréquence se situe entre . Ces tumeurs sont la troisième cause de mortalité par cancer chez l’adulte jeune. Une méta-étude du rôle de ces champs, notamment induits par l'utilisation des téléphones mobiles identifie une augmentation significative du risque de gliome après dix ans d'expositions, ces résultats ont été confirmés. Un risque de névrome acoustique est aussi identifié. En 2011, l'IARC et l'OMS ont pour ces raisons, sur la base des travaux menés en Suède par l'équipe de Harding, dont une étude concluant que les standards courants de protection contre les microondes émis par les téléphones mobiles ne sont pas sûrs pour la santé en cas d'exposition fréquente et à long terme, et qu'ils doivent être revus et sur la base d'une étude de l'IARC (Interphone study), classé l'utilisation du téléphone portable ou sans fil comme cancérigène du groupe 2B (cancérigène possible pour l'Homme), de même pour les stations de base (antennes-relais), et les ondes Wi-Fi. Le rôle des rayonnements ionisant est mieux établi.
Elena Goun, Pavlo Khodakivskyi