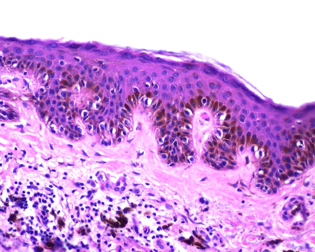
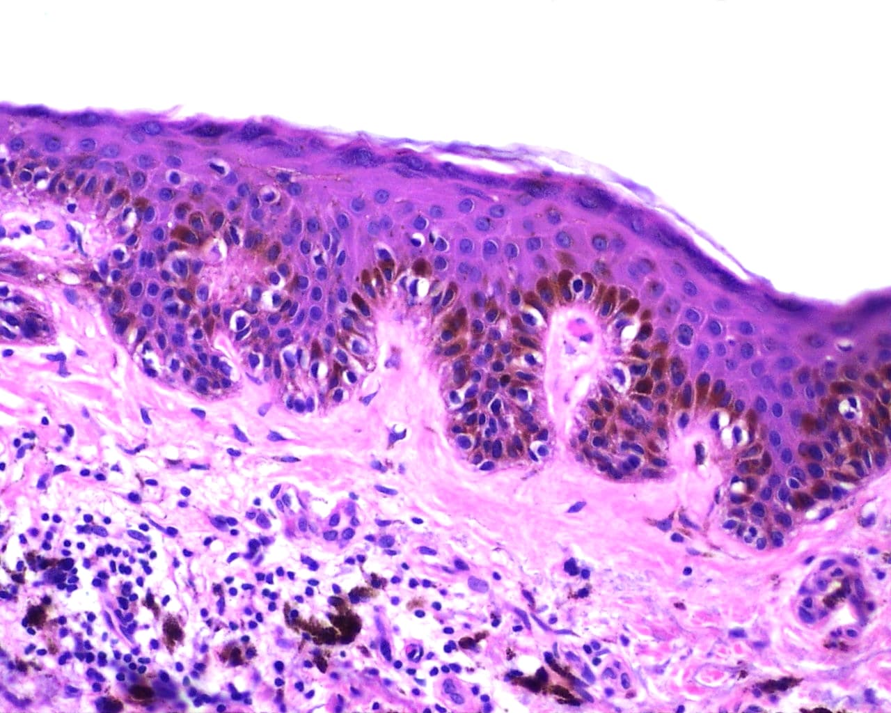
A melanocytic nevus (also known as nevocytic nevus, nevus-cell nevus and commonly as a mole) is usually a noncancerous condition of pigment-producing skin cells. It is a type of melanocytic tumor that contains nevus cells. Some sources equate the term mole with "melanocytic nevus", but there are also sources that equate the term mole with any nevus form. The majority of moles appear during the first two decades of a person's life, with about one in every 100 babies being born with moles. Acquired moles are a form of benign neoplasm, while congenital moles, or congenital nevi, are considered a minor malformation or hamartoma and may be at a higher risk for melanoma. A mole can be either subdermal (under the skin) or a pigmented growth on the skin, formed mostly of a type of cell known as a melanocyte. The high concentration of the body's pigmenting agent, melanin, is responsible for their dark color. Moles are a member of the family of skin lesions known as nevi, occurring commonly in humans. According to the American Academy of Dermatology, the most common types of moles are skin tags, raised moles and flat moles. Benign moles are usually brown, tan, pink or black (especially on dark-colored skin). They are circular or oval and are usually small (commonly between 1–3 mm), though some can be larger than the size of a typical pencil eraser (>5 mm). Some moles produce dark, coarse hair. Common mole hair removal procedures include plucking, cosmetic waxing, electrolysis, threading and cauterization. Moles tend to appear during early childhood and during the first 30 years of life. They may change slowly, becoming raised, changing color or gradually fading. Most people have between 30 and 40 moles, but some have as many as 600. The number of moles a person has was found to have a correlation with telomere length. However, the relation between telomeres and aging remains uncertain. The American Academy of Dermatology says that the vast majority of moles are benign.
Hubert Girault, Horst Pick, Andreas Stephan Lesch, Milica Jovic, Tzu-En Lin, Yingdi Zhu