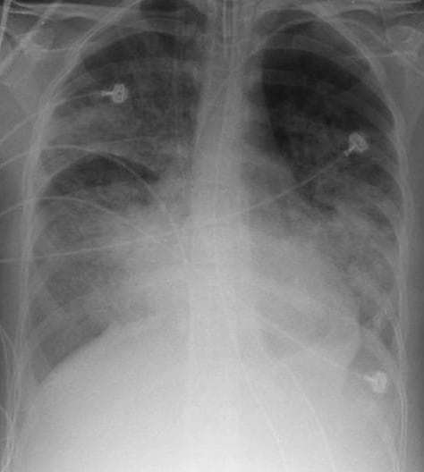
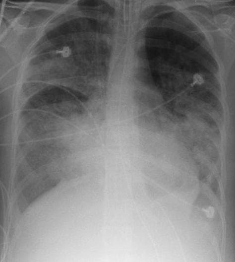
Le syndrome de détresse respiratoire aiguë (SDRA) est une cause de détresse respiratoire par œdème pulmonaire lésionnel. Le SDRA est défini par l'association de quatre critères : détresse respiratoire depuis moins d'une semaine, opacités pulmonaires bilatérales sur la radiographie thoracique ou la tomodensitométrie (TDM), pas d'argument pour une cause cardiaque d'œdème pulmonaire, et hypoxémie. Le SDRA est causé par une atteinte de la membrane alvéolocapillaire, dont la capacité d'échanges gazeux chute radicalement. Ceci entraîne également un défaut de compliance pulmonaire. Cette manifestation peut apparaître dans un grand nombre de situations pathologiques avec des mécanismes différents. Il est caractérisé par une inflammation du parenchyme pulmonaire qui mène à des anomalies d'échanges de gaz avec une libération en parallèle de médiateurs inflammatoires du parenchyme pulmonaire qui causent une inflammation et une hypoxémie. Souvent une défaillance multiviscérale résulte rapidement de cet état. Son traitement, à la fois étiologique et symptomatique, ne permet une survie que dans la moitié des cas pour les SDRA dits « sévères ». Son pronostic reste donc encore très sombre et il peut laisser des séquelles importantes. Le syndrome de détresse respiratoire aigüe a été décrit pour la première fois en 1967. LARDS Definition task force a proposé, en 2012, un ensemble de critères dits « de Berlin » afin de pallier les imprécisions des précédents critères diagnostiques (imprécision sur la définition du caractère aigu, absence de niveau de PEEP (positive end-expiratory pressure), chevauchements des notions dacute lung injury (ALI) et acute respiratory distress syndrome). Un SDRA est présent lorsque les quatre critères suivants sont présents : détresse respiratoire apparue depuis moins d'une semaine ; opacités pulmonaires bilatérales floconneuses sur la radiographie thoracique ou la TDM, non expliquées par un épanchement, une atélectasie, ou des nodules ; pas d'autre cause d'œdème pulmonaire, cardiaque, rénale ou hépatique, ni de surcharge volémique (échocardiographie nécessaire) ; hypoxémie avec un rapport PaO2/FiO2 < 300 mmHg.
Sophie Jacqueline Andrée Betka
Martin Jaggi, Mary-Anne Hartley, Jonathan Dönz, Juliane Dervaux, Tatjana Chavdarova, Daniel Mueller, Julien Niklas Heitmann, Daniel Hinjos García