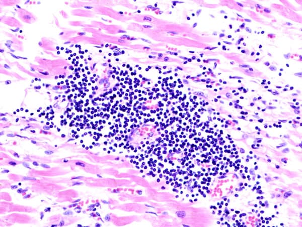
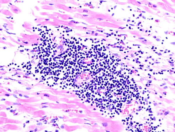
La myocardite est une atteinte inflammatoire du myocarde de causes variées. Les artères coronaires sont saines contrairement à une cause ischémique. La maladie peut être asymptomatique jusqu'à son terme, qu'elle évolue spontanément vers une issue favorable (guérison) ou non (risque de mort subite). Lorsqu'elle est symptomatique, elle peut se manifester de diverses manières : douleur thoracique, parfois de type péricarditique, prolongée et inhibant la respiration. La présence d'un frottement péricarditique à l'auscultation cardiaque est inconstante mais assez évocatrice ; fièvre, notamment dans les cas d'infection ; palpitations, tachycardie (pouls rapide) ; hypotension artérielle ; syncopes ; insuffisance cardiaque : dyspnée (essoufflement), œdème des membres inférieurs, œdème aigu du poumon ; syndrome pseudo-grippal notamment après une infection virale : symptômes ORL, fatigue, céphalées ; Si elle est grave, la détérioration du fonctionnement cardiaque peut être à l'origine d'une mort subite causée par des troubles du rythme cardiaque ou d'une insuffisance cardiaque. On parle de myocardite aiguë face à une insuffisance cardiaque récente, sans maladie coronarienne ni valvulaire évolutive. La myocardite est dite fulminante si les premiers signes cliniques apparaissent très vite (en quelques jours) après une crise pseudo-grippale (souvent alors induite par un virus à tropisme cardiaque comme le Parvovirus B19 le virus herpès de type 6, les Coxsackies et les adénovirus). Le risque d'une dégradation de la santé avec défaillances viscérales voire arrêt cardiaque implique une prise en charge dans un établissement disposant d’assistance cardiaque. Des formes plus progressives et subaiguës demandent un traitement conventionnel pour insuffisance cardiaque et parfois immunosuppresseur ou immunomodulateur (selon l'étiologie de la myocardite). Prise de sang : La prise de sang montre une inflammation (élévation de la CRP et de la VS) et une augmentation des marqueurs cardiaques (troponine et CK).
Yves Perriard, Yoan René Cyrille Civet, Thomas Guillaume Martinez, Francesco Clavica, Armando Matthieu Walter, Jonathan André Jean-Marie Chavanne, Silje Ekroll Jahren, Lorenzo Ferrari
David Atienza Alonso, Tomas Teijeiro Campo, Silvio Zanoli, Fabio Montagna