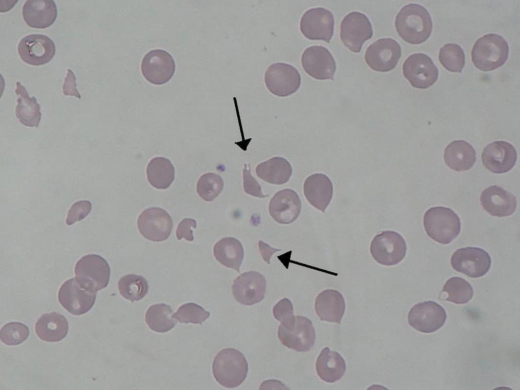
Une microangiopathie thrombotique (MAT) est un processus pathologique (-pathie) caractérisé par la présence de thrombus multiples localisés sur les petits (micro) vaisseaux (angio-). Un thrombus est un amas de plaquettes qui se sont agrégées entre elles grâce au processus de la coagulation impliquant la fibrine et tous les facteurs de la coagulation. Ces derniers sont des protéines circulant dans le sang qui réagissent entre eux en cascade pour aboutir à cet amas de plaquettes. vignette|Frottis sanguin montrant des schizocytes chez un patient avec un syndrome hémolytique et urémique, une cause de microangiopathie thrombotique. Ce thrombus est normalement destiné à colmater une brèche dans un vaisseau sanguin. Dans le cas de cette lésion, sa formation est inadaptée ou exagérée et provoque une angiopathie. Le diagnostic paraclinique biologique d'une MAT repose sur l'association d'une anémie hémolytique mécanique (baisse de la concentration d'hémoglobine circulante, augmentation des LDH, mise en évidence de schizocytes au frottis sanguin), d'une thrombopénie et de défaillances viscérales (insuffisance rénale, troubles de la conscience, ...). La MAT est l'expression commune à différentes maladies. Une première distinction, à la fois physiopathologique et clinico-biologique, est faite entre le syndrome hémolytique et urémique et le purpura thrombotique thrombocytopénique. En contexte obstétrical, le syndrome HELLP est une cause de MAT. Syndrome hémolytique et urémique Le SHU typique est une toxi-infection alimentaire à Escherichia coli productrice de shigatoxines, le souvent de sérotype O157:H7. Les SHU atypiques résultent d'un déficit inné ou acquis de la voie alterne du complément, d'une mutation de la thrombomoduline ou du gène de la diacylglycérol kinase epsilon (DGKE). Le SHU peut être secondaire à une prise de médicaments (ciclosporine, tacrolimus, clopidogrel, gemcitabine, mitomycine C, ...), une infection, une connectivite, une hypertension artérielle maligne. Elle peut être aussi conséquence d'un cancer.
Leo Scheller, Yujia Wang, Haifeng Ye
Matthias Lütolf, Jeffrey Alan Hubbell, Yoji Tabata, Jun Ishihara, Kazuto Fukunaga