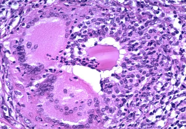
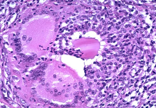
Une thyroïdite est une inflammation de la glande thyroïde. Il en existe plusieurs sortes que l'on distingue par leurs origines et leurs effets. Selon une étude cas-témoins récente (publication 2020), basée sur l'étude de cas de goitre, de thyrotoxicose, d'hypothyroïdie et de thyroïdite, comparés à témoins tirés des mêmes zones d'étude (utilisation élevée ou faible de pesticides), une exposition (professionnelle ou environnementale) accrue aux pesticides est associée à un risque accru de maladies thyroïdiennes. Les pesticides perturbateurs endocriniens exposent notamment à des changements dans les taux d'hormones thyroïdiennes circulantes (T3, T4) et de thyréostimuline (TSH). Il s'agit d'une inflammation chronique de la glande qui provient d'un phénomène d'auto-immunité et qui touche surtout les femmes. On retrouve un goitre non douloureux mais dur. Le principal problème sera l'hypothyroïdie (qui peut n'apparaître que tardivement) que l'on combat généralement par la prise d'hormones thyroïdiennes (comprimés) afin d'apporter les hormones manquantes et de permettre la diminution du volume du goitre. Le risque de tumeur (évolution cancéreuse) n'est pas à écarter. Thyroïdite de Hashimoto Il s'agit d'une inflammation de la glande thyroïde, peu courante et à prédominance féminine, probablement d'origine virale (infection ORL de type rhinopharyngite). Bénigne mais douloureuse (très vive au niveau cervical), cette maladie s'accompagne de fièvre et une augmentation de la taille de la glande. Lors de l'investigation, on constate un tableau spécifique avec une scintigraphie blanche (non fixation) et un dosage de TSH bas en début de la maladie. La maladie évolue généralement en deux phases : une première phase d’hyperthyroïdie (TSH basse, T4 augmentée) par libération des hormones thyroïdienne dans la circulation sanguine à la suite de la réaction immunitaire attaquant la glande, puis une seconde phase de retour à l'euthyroïdie ou évoluant vers l'hypothyroïdie, pouvant être passagère ou définitive.