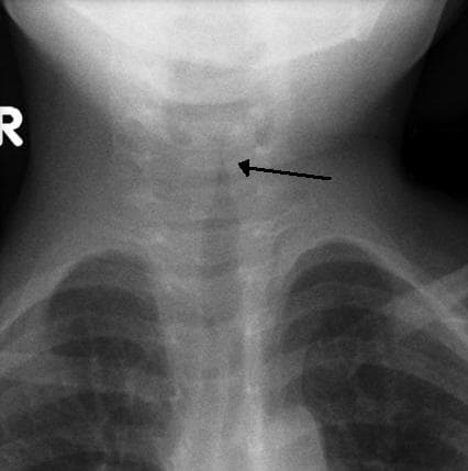
Le croup (ou laryngo-trachéo-bronchite) est une affection respiratoire habituellement déclenchée par une infection virale aiguë des voies aériennes supérieures. L'infection conduit à un gonflement de l'intérieur de la gorge, qui gêne la respiration normale et produit les symptômes classiques : toux dite « aboyante », stridor, dysphonie. Le croup peut produire des symptômes légers à sévères, souvent aggravés la nuit. Il est souvent traité par une dose unique de stéroïdes oraux. Occasionnellement, l'adrénaline est utilisée si le cas est sévère. L'hospitalisation est rarement requise. Le croup est diagnostiqué cliniquement, une fois exclues les autres causes potentielles et plus sévères des symptômes, telles que l'épiglottite ou la présence d'un corps étranger dans les voies aériennes. Des recherches plus poussées, comme les tests sanguins, radiographies ou cultures sont rarement indispensables. Il s'agit d'une affection relativement commune qui peut affecter jusqu'à 15 % des enfants à certains endroits, le plus souvent entre 6 mois et 5-6 ans. Il n'est presque jamais observé chez les adolescents ou les adultes. Bien qu'originellement attribué à la diphtérie, cette étiologie est aujourd'hui peu fréquente dans le monde occidental grâce au succès de la vaccination. Le croup se caractérise par les symptômes suivants : toux « aboyante », stridor, dysphonie et une gêne respiratoire aggravée la nuit. La toux « aboyante » est souvent décrite comme ressemblant au cri du pinnipède ou du lion de mer. Le stridor est aggravé par l'agitation ou les pleurs et, s'il est présent au repos, il indique un rétrécissement critique des voies aériennes. Tandis que le croup s'aggrave, le stridor peut décroître considérablement. Les autres symptômes incluent fièvre, coryza (symptômes typiques du rhume) et tirage costal ou inter-costal. L'hypersialorrhée ou un état général très dégradé indiquent d'autres affections. Le plus souvent, le croup est dû à une infection virale.
David Atienza Alonso, Tomas Teijeiro Campo, Lara Orlandic, Jérôme Paul Rémy Thevenot
Matteo Dal Peraro, Luciano Andres Abriata, Albert Sanghoon Song