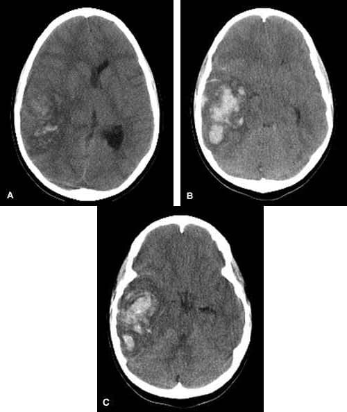
Intraparenchymal hemorrhage (IPH) is one form of intracerebral bleeding in which there is bleeding within brain parenchyma. The other form is intraventricular hemorrhage (IVH). Intraparenchymal hemorrhage accounts for approximately 8-13% of all strokes and results from a wide spectrum of disorders. It is more likely to result in death or major disability than ischemic stroke or subarachnoid hemorrhage, and therefore constitutes an immediate medical emergency. Intracerebral hemorrhages and accompanying edema may disrupt or compress adjacent brain tissue, leading to neurological dysfunction. Substantial displacement of brain parenchyma may cause elevation of intracranial pressure (ICP) and potentially fatal herniation syndromes. Clinical manifestations of intraparenchymal hemorrhage are determined by the size and location of hemorrhage, but may include the following: Hypertension, fever, or cardiac arrhythmias Nuchal rigidity Subhyaloid retinal hemorrhages Altered level of consciousness Anisocoria, nystagmus Focal neurological deficits Putamen - Contralateral hemiparesis, contralateral sensory loss, contralateral conjugate gaze paresis, homonymous hemianopsia, aphasia, neglect, or apraxia Thalamus - Contralateral sensory loss, contralateral hemiparesis, gaze paresis, homonymous hemianopia, miosis, aphasia, or confusion Lobar - Contralateral hemiparesis or sensory loss, contralateral conjugate gaze paresis, homonymous hemianopia, abulia, aphasia, neglect, or apraxia Caudate nucleus - Contralateral hemiparesis, contralateral conjugate gaze paresis, or confusion Brain stem - Tetraparesis, facial weakness, decreased level of consciousness, gaze paresis, ocular bobbing, miosis, or autonomic instability Cerebellum - Ataxia, usually beginning in the trunk, ipsilateral facial weakness, ipsilateral sensory loss, gaze paresis, skew deviation, miosis, or decreased level of consciousness Hypertension Arteriovenous malformation Aneurysm rupture Cerebral amyloid angiopathy Intracranial neoplasm Coagulopathy Hemorrhagic transformation of an ischemic stroke Cerebral venous thrombosis Sympathomimetic drug abuse Moyamoya disease Sickle cell disease Eclampsia or postpartum vasculopathy Infection Vasculitis Neonatal intraventricular hemorrhage Trauma In younger patients, vascular malformations, specifically AVMs and cavernous angiomas are more common causes for hemorrhage.
Friedhelm Christoph Hummel, Jian Wang