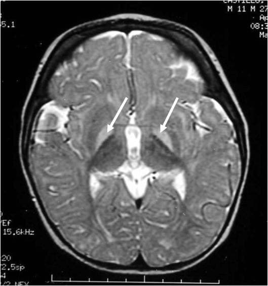
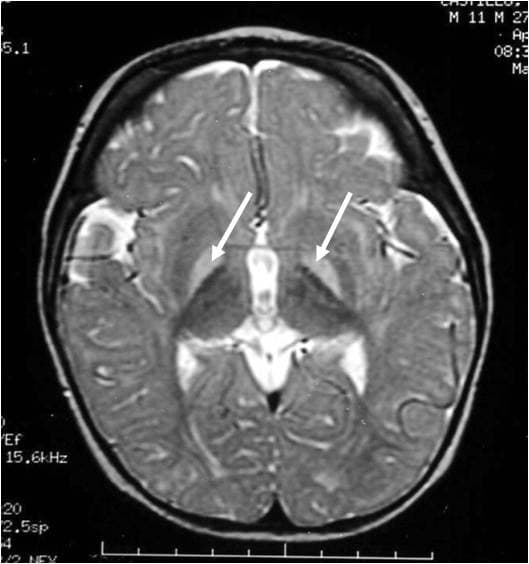
L'ictère nucléaire désigne le stade avancé de l'atteinte cérébrale chez le nouveau-né secondaire à l'accumulation de bilirubine (ictère). La bilirubine libre, c'est-à-dire non conjuguée, si elle est trop élevée (au-delà de 250 à 300 μmol/L (environ 14,5 à 17,5 mg/dL) chez l'enfant à terme) se fixe sur les noyaux gris centraux entraînant des lésions cérébrales et une atteinte des nerfs crâniens (le en particulier) irréversibles à ce stade. Cette augmentation de la bilirubine est liée à une hyper-hémolyse d'une part, et/ou au retard (prématurité) ou à l'absence de la mise en route des enzymes hépatiques nécessaires à la glycuroconjugaison de la bilirubine. Cette glycuroconjugaison était inutile in utero, la bilirubine étant éliminée par voie placentaire. In vitro, la bilirubine libre altère le nombre de dendrites, d'axones et des synapses des neurones et joue sur les cellules gliales. Au niveau biochimique, cette molécule stimulerait le stress oxydatif, favorisant l'oxydation des protéines et la peroxydation des lipides, inhibant les défenses anti-oxydatives de la cellule. Cette hyperbilirubinémie est souvent due à une incompatibilité fœto-maternelle entrainant une hyperhémolyse. D'autres affections peuvent causer cet ictère nucléaire, entre autres : Maladie de Crigler Najjar, par absence de glycuroconjugaison par déficit en UGT1A1. ou par anomalie érythrocytaire entrainant une hyperhémolyse : Déficit en G6PD, Maladie de Minkowski-Chauffard La prématurité, le poids faible de l'enfant majorent le risque d'atteinte pour des taux plus faibles de bilirubine. Outre l'ictère, ce sont les symptômes neurologiques qui sont au premier plan, avec un risque de séquelles : syndrome extrapyramidal, mouvements de type chorée-athétose, parésie oculomotrice et surdité. Son incidence est inférieure à 3 cas pour 100 000 naissances, mais elle peut être beaucoup plus fréquente dans les pays en voie de développement. L'ictère nucléaire tend à réapparaitre, et pas seulement en France, dans la mesure où l'enfant n'est pas surveillé pendant sa première semaine de vie du fait des sorties de plus en plus précoces de la maternité.
Yohan Van de Looij, Hongxia Lei
Giovanni De Micheli, László Forró, Sandro Carrara, Arnaud Magrez, Irene Taurino