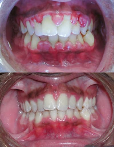
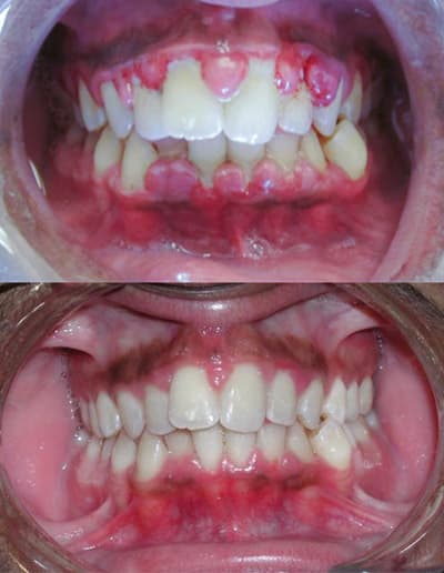
La gingivite est une inflammation de la gencive, associée ou non à des phénomènes dégénératifs, nécrotiques ou prolifératifs et causée par la plaque bactérienne. La gingivite est une maladie parodontale, c'est-à-dire une maladie touchant le parodonte, les tissus entourant la dent. Une gencive saine présente un aspect « en peau d'orange », rose pâle, et ne saigne pas au contact. Lors de la gingivite, la gencive devient rouge (toute variation de couleur signe une situation pathologique), lisse et gonflée. Elle saigne facilement, soit lors du brossage, soit parfois même spontanément. On peut observer des poches parodontales, c'est-à-dire un espace qui se forme entre le haut de la gencive et le niveau où elle s'attache à l'os. La gingivite peut être localisée ou généralisée, marginale, papillaire, diffuse. C'est la gingivite habituelle, inflammation de la gencive due à la plaque dentaire. Ses signes sont : rougeur ; œdème (papilles boursouflées) ; gencive brillante, vernissée (la piqueté disparaît) ; saignements fréquents. Il peut y avoir formation de poches parodontales. Elle n'est pas douloureuse. On observe une augmentation de volume importante (parfois on ne voit même plus les dents). La gencive est très fibreuse ; la texture et la teinte restent normales (car on ne voit pas la partie enflammée). L'étiologie est la prolifération des fibroblastes. Elle est parfois d'origine idiopathique, mais le plus souvent elle est favorisée par certains médicaments : certains anti-épileptiques, la ciclosporine, la nifédipine et certains bêta-bloquants). Il s'agit d'une tumeur framboisée. La teinte est prononcée, la texture vernissée ; la profondeur du sillon augmente beaucoup (jusqu'à 7- au lieu des 2 à 3 habituels) ; saigne très facilement. Aussi appelée gingivite gravidique, elle est favorisée notamment par certaines hormones féminines (fréquent chez la femme enceinte). Dans ce cas très particulier, on a affaire à une destruction tissulaire par nécrose, sans formation de poche.
Harm-Anton Klok, Caroline Sugnaux