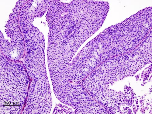
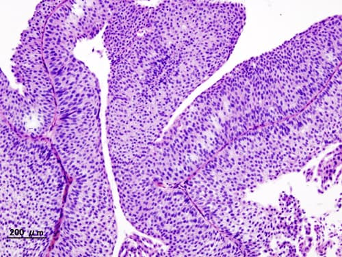
La paroi interne de la vessie est tapissée de cellules transitionnelles qui sont à l'origine de la plupart des cancers de la vessie. L'évolution et la prise en charge dépend beaucoup du caractère invasif de la tumeur. On distingue le cancer superficiel de la vessie du cancer invasif (tumeur infiltrante). Si le cancer superficiel reste de bon pronostic, le cancer invasif de la vessie est beaucoup plus grave et nécessite des traitements agressifs. Il s'agit de l'un des dix plus fréquents cancers avec un peu plus de 500 000 cas annuels de par le monde. L'âge moyen est de 65 ans. Il touche 4 hommes pour 1 femme, mais ce taux évolue au fur et à mesure que l'impact du tabagisme chez la femme se fait sentir. Le cancer de la vessie est une tumeur fréquente. En 2000, cas ont été diagnostiqués en France, parmi lesquels un tiers est lié au tabagisme. Il est le sixième cancer le plus fréquent en France. Il représente 3,5 % des décès par cancer. Le taux de survie à 5 ans est de 96 %, lorsque les tumeurs infiltrent le muscle uniquement (TVIM), 70 % lorsqu'il s'étend et seulement 5 % lorsque les métastases se diffusent dans le corps. Tous types de cancers de la vessie confondus, le taux de survie à 5 ans est de 77,4 % . Il est plus mauvais chez la femme en raison d'un retard au diagnostic, l'hématurie étant banale au cours d'une infection urinaire.. Le facteur de risque non modifiable le plus important reste l'âge. Les facteurs favorisants les plus importants sont le tabagisme (responsable de 40 % des cancers de la vessie) et certains cancérogènes chimiques. À ce titre le cancer de la vessie peut être considéré comme une maladie professionnelle. Les principales substances industrielles en cause sont : les amines aromatiques ; leurs dérivés hydroxylés halogénés et sulfonés.
Grégoire Courtine, Jocelyne Bloch, Jordan Squair, Loïs Thomas Romain Mahe
Silvestro Micera, Stéphanie Lacour, Leonardo Pollina, Ivo Strauss, Valentina Marie Paggi
Sebastian Martin Waszak, Li Jiang