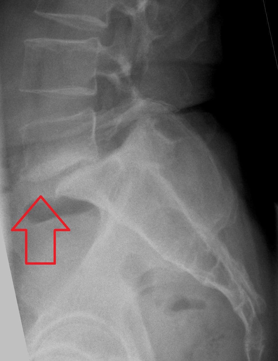
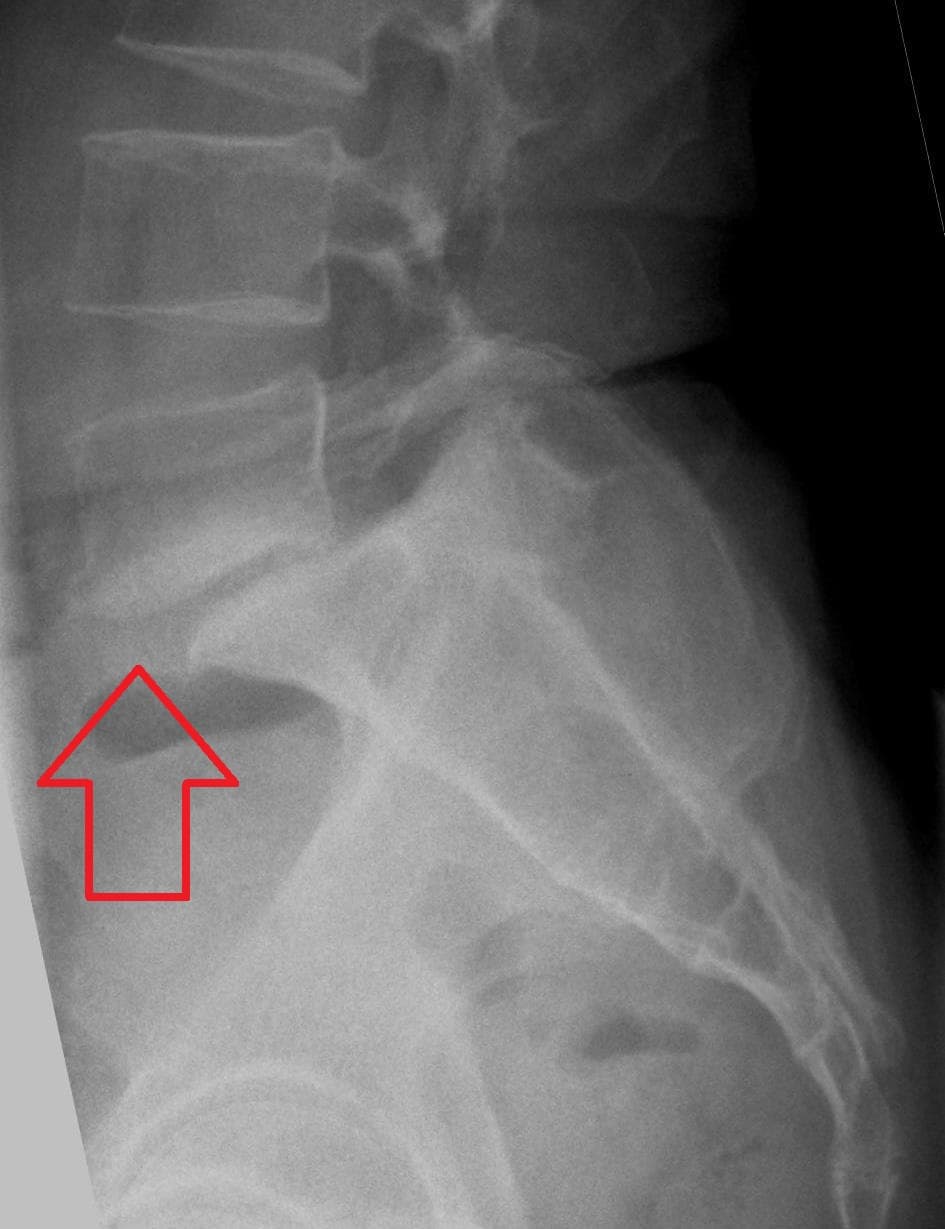
Le spondylolisthésis (du grec ancien , vertèbre, et , action de glisser) désigne une affection du squelette humain, caractérisée par le glissement d'une vertèbre en avant de la vertèbre située en dessous d'elle (antéspondylolisthésis) ou en arrière (rétrolisthésis). Les vertèbres les plus souvent concernées sont la quatrième et la cinquième vertèbre lombaire. La spondylolyse est une perte de continuité de l'isthme articulaire (pars interarticularis), situé entre les deux apophyses articulaires supérieure et inférieure de l'arc vertébral postérieur. Elle survient le plus souvent au niveau d'un étage vertébral lombaire bas, habituellement le dernier étage mobile. Elle peut être unilatérale ou bilatérale, induisant alors une micro mobilité ou une mobilité de l'arc postérieur. Elle peut être aiguë, traumatique, correspondant à un trait de fracture vrai, ou chronique, sans notion de vrai traumatisme. La perte de continuité s'organise alors sous la forme d'un tissu fibreux ou plus rarement pseudo-kystique plus ou moins hypertrophique dit « nodule de Gill », qui peut être agressif pour les racines nerveuses au contact. La lyse peut survenir dans l’enfance, mais aussi à l’âge adulte. La fréquence de la spondylolyse au niveau lombaire est remarquablement élevée : de l'ordre de 3 à 7 % dans la population générale, beaucoup plus dans certains groupes. Si Inuits et Bushmen sont classiquement des groupes à risque, la fréquence des spondylolyses est de 14 % chez les athlètes de haut niveau, particulièrement 20 % chez les danseurs, et de 11 à 17 % chez les gymnastes et les rameurs, au point que la constatation d'une spondylolyse puisse être considérée comme presque physiologique dans certains groupes de sportifs... Le spondylolisthésis est un déplacement permanent du corps vertébral en avant sur le corps vertébral sous-jacent, constituant un antéspondylolisthésis, ou en arrière (rétrolisthésis). Il est deux à trois fois moins fréquent que la spondylolyse isthmique.
Julien Favre, Brigitte Jolles-Haeberli, Guillaume Christe