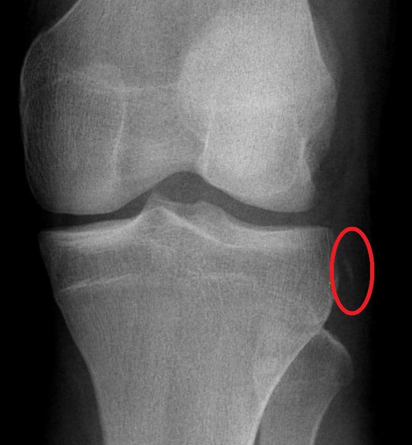
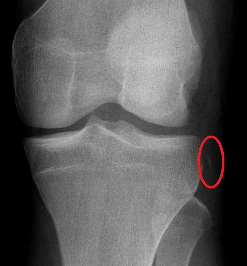
thumb|280px|Fracture de Segond La fracture de Segond est une fracture par avulsion. Elle affecte le condyle du tibia, à proximité immédiate du plateau tibial, au point d’insertion du ligament antéro-latéral (formation antéro-externe FAE). Décrite pour la première fois par le docteur Paul Segond en 1879, après une série d’observations autopsiques, la fracture de Segond est associée, dans 75 à 100 % des cas, à l’arrachement du ligament croisé antérieur (LCA) et, dans 60 à 70 % d’entre eux, à une lésion du ménisque interne. Elle peut également s’accompagner d’une lésion des structures postérieures du genou. À l'occasion de sa découverte, Segond signale l'existence d'une « bande nacrée », oubliée depuis lors, redécouverte en 2012 en France, en 2013 à l', et renommée par ses nouveaux auteurs « ». Un rare traumatisme en miroir de la fracture de Segond a également été décrit : la fracture de Segond inversée, qui se produit par avulsion de l’extrémité tibiale du ligament collatéral tibial (LCT) ou ligament latéral interne (LLI) dans l'ancienne nomenclature, accompagnée de l’arrachement du ligament croisé postérieur (LCP) et d’une lésion du ménisque interne. La fracture de Segond est le résultat caractéristique d’une rotation forcée interne du tibia sur un genou en varus. La fracture de Segond inversée est également causée par une rotation en force, mais, comme son nom l’indique, par une rotation externe et sur un valgus. D’abord considérée comme résultat exclusif d’une avulsion du tiers médian du ligament latéral externe (LLE), des recherches plus récentes ont montré que la fracture de Segond est aussi en relation avec l’insertion de la bandelette ilio-tibiale (BIT) et du ligament semi-lunaire externe. À cause de la fréquence des lésions du ligament et du ménisque qui lui sont associées, on ne peut établir le diagnostic de la fracture de Segond qu’après avoir écarté ces pathologies en tant qu’elles sont spécifiques. À la radiographie de face, la fracture de Segond présente une pastille d’os d’une taille caractéristique (voir l'image).
Dominique Pioletti, Ting Zhu, Weiliang Shen, Jiayun Huang
Dominique Pioletti, Wei Zhang, Weiliang Shen, Jiayun Huang