Skip to main content
Concept

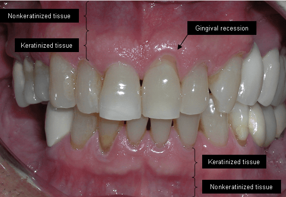
Gingival grafting