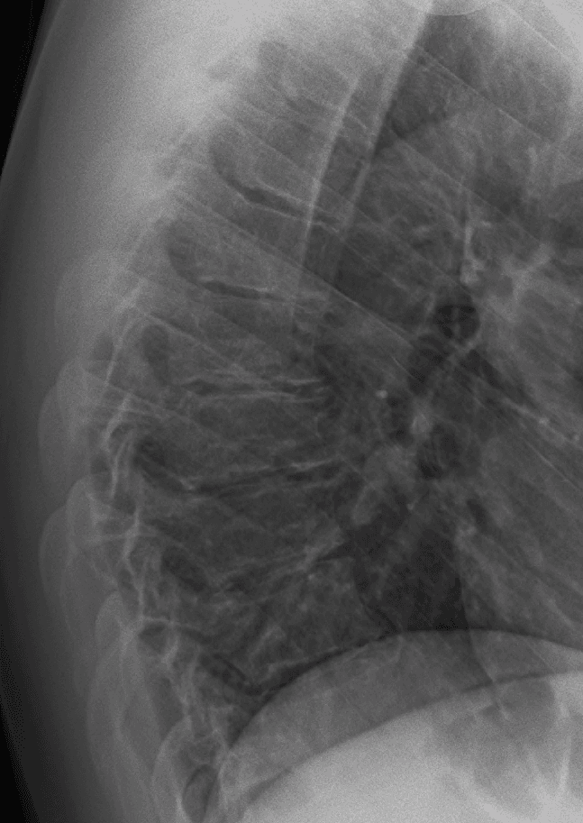
Scheuermann's disease is a self-limiting skeletal disorder of childhood. Scheuermann's disease describes a condition where the vertebrae grow unevenly with respect to the sagittal plane; that is, the posterior angle is often greater than the anterior. This uneven growth results in the signature "wedging" shape of the vertebrae, causing kyphosis. It is named after Danish surgeon Holger Scheuermann. Scheuermann's disease is considered to be a form of juvenile osteochondrosis of the spine. It is found mostly in teenagers and presents a significantly worse deformity than postural kyphosis. Patients suffering with Scheuermann’s kyphosis cannot consciously correct their posture. The apex of their curve, located in the thoracic vertebrae, is quite rigid. Scheuermann's disease is notorious for causing lower and mid-level back and neck pain, which can be severe and disabling. The sufferer may feel pain at the apex of the curve, which is aggravated by physical activity and by periods of standing or sitting; this can have a significantly detrimental effect to their lives as their level of activity is curbed by their disability. The sufferer may feel isolated or uneasy amongst their peers if they are children, depending on the level of deformity. In addition to the pain associated with Scheuermann's disease, many sufferers of the disorder have loss of vertebral height, and depending on where the apex of the curve is, may have a visual 'hunchback' or 'roundback'. It has been reported that curves in the lower thoracic region cause more pain, whereas curves in the upper region present a more visual deformity. Nevertheless, it is typically pain or cosmetic reasons that prompt sufferers to seek help for their condition. In studies, kyphosis is better characterized for the thoracic spine than for the lumbar spine. The seventh and tenth thoracic vertebrae are most commonly affected. It causes backache and spinal curvature. In very serious cases it may cause internal problems and spinal cord damage, but these cases are extremely rare.
Hannes Bleuler, Mohamed Bouri, Jemina Fasola, Tristan Hubert Vouga, Romain Pierre François Baud