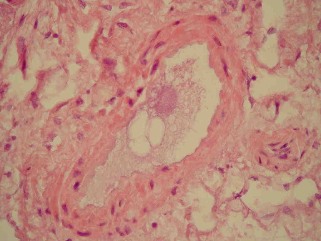
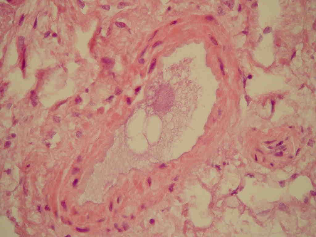
Fat embolism syndrome occurs when fat enters the blood stream (fat embolism) and results in symptoms. Symptoms generally begin within a day. This may include a petechial rash, decreased level of consciousness, and shortness of breath. Other symptoms may include fever and decreased urine output. The risk of death is about 10%. Fat embolism most commonly occurs as a result of fractures of bones such as the femur or pelvis. Other potential causes include pancreatitis, orthopedic surgery, bone marrow transplant, and liposuction. The underlying mechanism involves widespread inflammation. Diagnosis is based on symptoms. Treatment is mostly supportive care. This may involve oxygen therapy, intravenous fluids, albumin, and mechanical ventilation. While small amounts of fat commonly occur in the blood after a bone fracture, fat embolism syndrome is rare. The condition was first diagnosed in 1862 by Zenker. Symptoms of fat embolism syndrome (FES) can start from 12 hours to 3 days after diagnosis of the underlying clinical disease. The three most characteristic features are: respiratory distress, neurological features, and skin petechiae. Respiratory distress (present in 75% of the cases) can vary from mild distress which requires supplemental oxygen to severe distress which requires mechanical ventilation. For neurologic features, those who have FES may become lethargic, restless, with a drop in Glasgow Coma Scale (GCS) due to cerebral oedema rather than cerebral ischaemia. Therefore, neurological signs are not lateralised to one side of the body. In the severe form of cerebral edema, a person may become unresponsive. Petechiae rash usually happens in 50% of the patients. Such skin manifestation is temporary and can disappear within one day. The fat embolism syndrome can be divided into three types: Subclinical FES - It manifests as reduced partial pressure of oxygen (PaO2) on arterial blood gas (ABG) with deranged blood parameters (reduced haemoglobin or thrombocytopenia) associated with fever, pain, discomfort, tachypnoea, tachycardia.
Nikolaos Stergiopoulos, Danielle Gomes Passos Silva