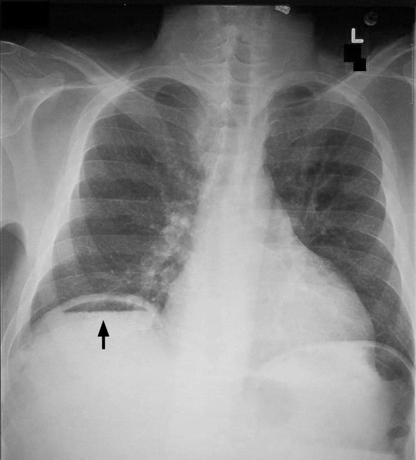
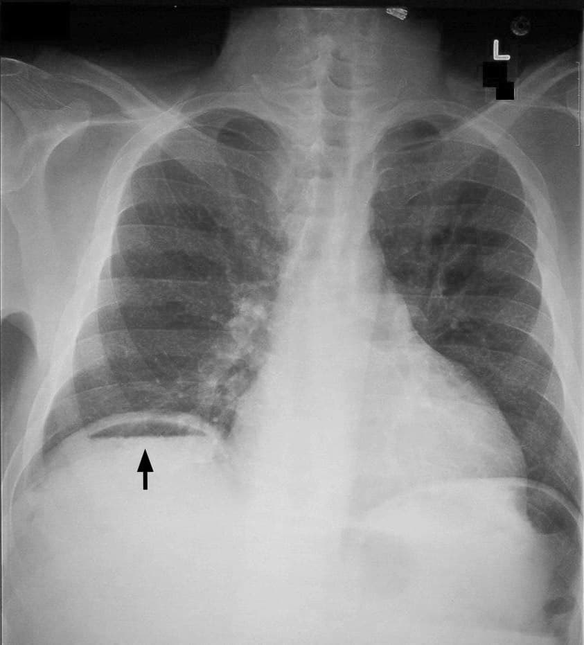
Pneumoperitoneum is pneumatosis (abnormal presence of air or other gas) in the peritoneal cavity, a potential space within the abdominal cavity. The most common cause is a perforated abdominal organ, generally from a perforated peptic ulcer, although any part of the bowel may perforate from a benign ulcer, tumor or abdominal trauma. A perforated appendix seldom causes a pneumoperitoneum. Spontaneous pneumoperitoneum is a rare case that is not caused by an abdominal organ rupture. This is also called an idiopathic spontaneous pneumoperitoneum when the cause is not known. In the mid-twentieth century, an "artificial" pneumoperitoneum was sometimes intentionally administered as a treatment for a hiatal hernia. This was achieved by insufflating the abdomen with carbon dioxide. The practice is currently used by surgical teams in order to aid in performing laparoscopic surgery. Perforated duodenal ulcer – The most common cause of rupture in the abdomen. Especially of the anterior aspect of the first part of the duodenum. Perforated peptic ulcer Bowel obstruction Ruptured diverticulum Penetrating trauma Ruptured inflammatory bowel disease (e.g., megacolon) Necrotising enterocolitis/pneumatosis coli Bowel cancer Ischemic bowel Steroids After laparotomy After laparoscopy Breakdown of a surgical anastomosis Bowel injury after endoscopy Peritoneal dialysis (PD), although the prevalence of pneumoperitoneum is estimated to be less than 4% among people with PD in a more recent study in the United Kingdom. Vaginal insufflation (air enters via the fallopian tubes; e.g., water-skiing, oral sex) Colonic or peritoneal infection From chest (e.g., bronchopleural fistula) Non-invasive PAP (positive airway pressure) can force air down duodenum as well as down trachea. A spontaneous pneumoperitoneum is a rare case that is not caused by an abdominal organ rupture. This is also called an idiopathic spontaneous pneumoperitoneum when the cause is not known.