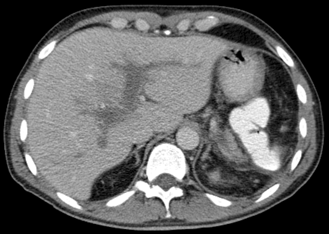
Portal vein thrombosis (PVT) is a vascular disease of the liver that occurs when a blood clot occurs in the hepatic portal vein, which can lead to increased pressure in the portal vein system and reduced blood supply to the liver. The mortality rate is approximately 1 in 10. An equivalent clot in the vasculature that exits the liver carrying deoxygenated blood to the right atrium via the inferior vena cava, is known as hepatic vein thrombosis or Budd-Chiari syndrome. Portal hypertension#Signs and symptomsPortal vein thrombosis causes upper abdominal pain, possibly accompanied by nausea and an enlarged liver and/or spleen; the abdomen may be filled with fluid (ascites). A persistent fever may result from the generalized inflammation. While abdominal pain may come and go if the thrombus forms suddenly, long-standing clot build-up can also develop without causing symptoms, leading to portal hypertension before it is diagnosed. Other symptoms can develop based on the cause. For example, if portal vein thrombosis develops due to liver cirrhosis, bleeding or other signs of liver disease may be present. If portal vein thrombosis develops due to pylephlebitis, signs of infection such as fever, chills, or night sweats may be present. Slowed blood flow due to underlying cirrhosis or congestive heart failure is often implicated. The prevalence of PVT in patients with cirrhosis is unclear, with a wide variety of incidence claimed by various researchers (estimated to be 1 in 100 by some while others believe it affects nearly 1 in 4). Thrombophilia (including inherited conditions such as factor V Leiden deficiency, protein C or S deficiency, or antiphospholipid antibody syndrome) is another common cause. Nearly one-third of patients have a myeloproliferative disorder (e.g. polycythemia vera or primary thrombocytosis), most commonly due to a Janus kinase 2 (JAK2) gene mutation. Oral contraceptive use or pregnancy are other non-inherited tendencies for thrombosis.
Anaïs Laure Marie-Thérèse Badoual, François Michaud, Alexandre Bigot