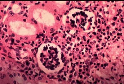
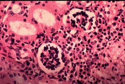
Visceral leishmaniasis (VL), also known as kala-azar (Hindi: kālā āzār, "black sickness") or "black fever", is the most severe form of leishmaniasis and, without proper diagnosis and treatment, is associated with high fatality. Leishmaniasis is a disease caused by protozoan parasites of the genus Leishmania. The parasite migrates to the internal organs such as the liver, spleen (hence "visceral"), and bone marrow, and, if left untreated, will almost always result in the death of the host. Signs and symptoms include fever, weight loss, fatigue, anemia, and substantial swelling of the liver and spleen. Of particular concern, according to the World Health Organization (WHO), is the emerging problem of HIV/VL co-infection. VL is the second-largest parasitic killer in the world (after malaria), responsible for an estimated 20,000 to 30,000 deaths each year worldwide. Upendranath Brahmachari synthesised urea stibamine (carbostibamide) in 1922 and determined that it was an effective substitute for the other antimony-containing compounds in the treatment of VL caused by Leishmania donovani. When people develop visceral leishmaniasis, the most typical symptoms are fever and the enlargement of the spleen, with enlargement of the liver sometimes being seen as well. The blackening of the skin that gave the disease its common name in India does not appear in most strains of the disease, and the other symptoms are very easy to mistake for those of malaria. Misdiagnosis is dangerous, as without proper treatment the mortality rate for kala-azar is close to 100%. L. donovani itself is not usually the direct cause of death in people with kala-azar, however. Pneumonia, tuberculosis, and dysentery are omnipresent in the immuno-depressed regions where leishmaniasis thrives, and, as with AIDS, it is these opportunistic infections that are more likely to kill, flaring up in a host whose immune system has been weakened by the L. donovani infection.
Stewart Cole, Charlotte Avanzi, Philippe Busso
Antonio Carlos Alves Meireles Filho