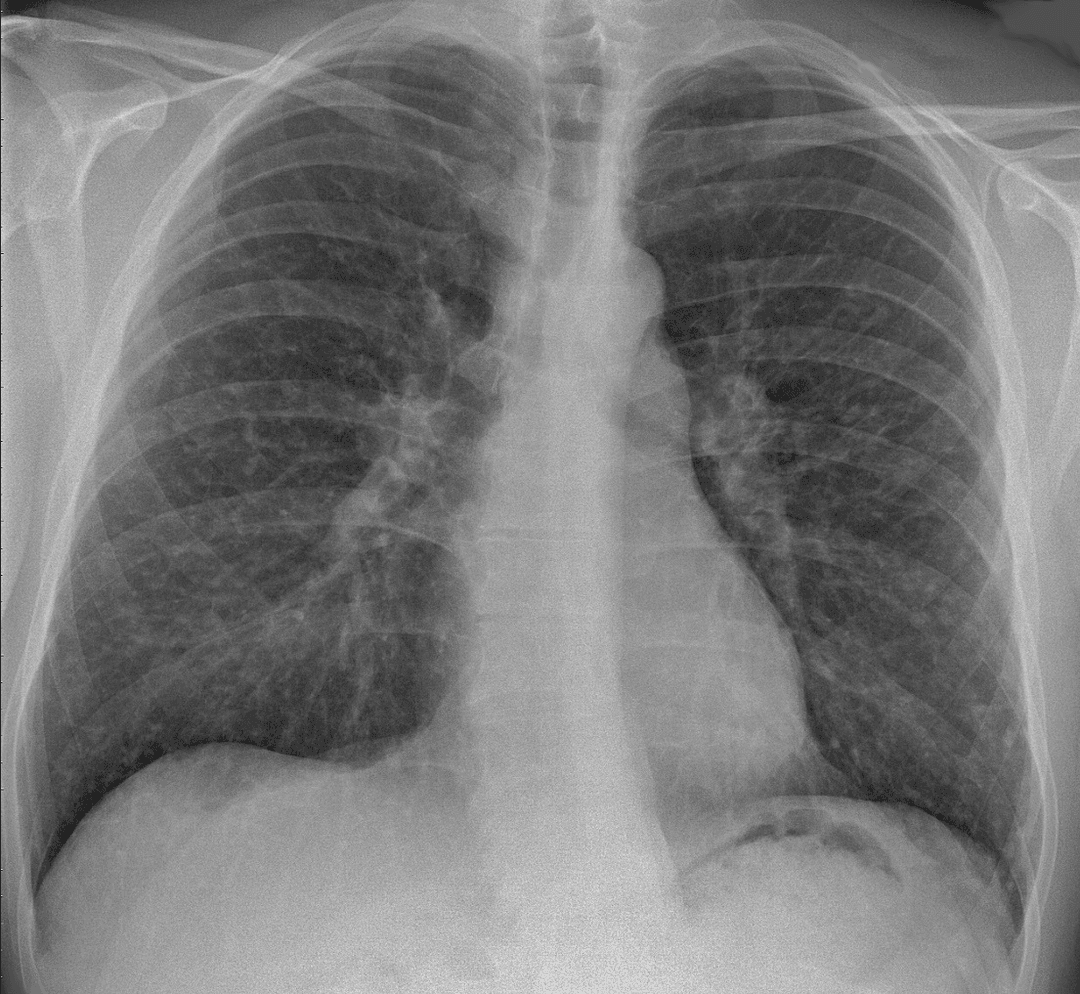
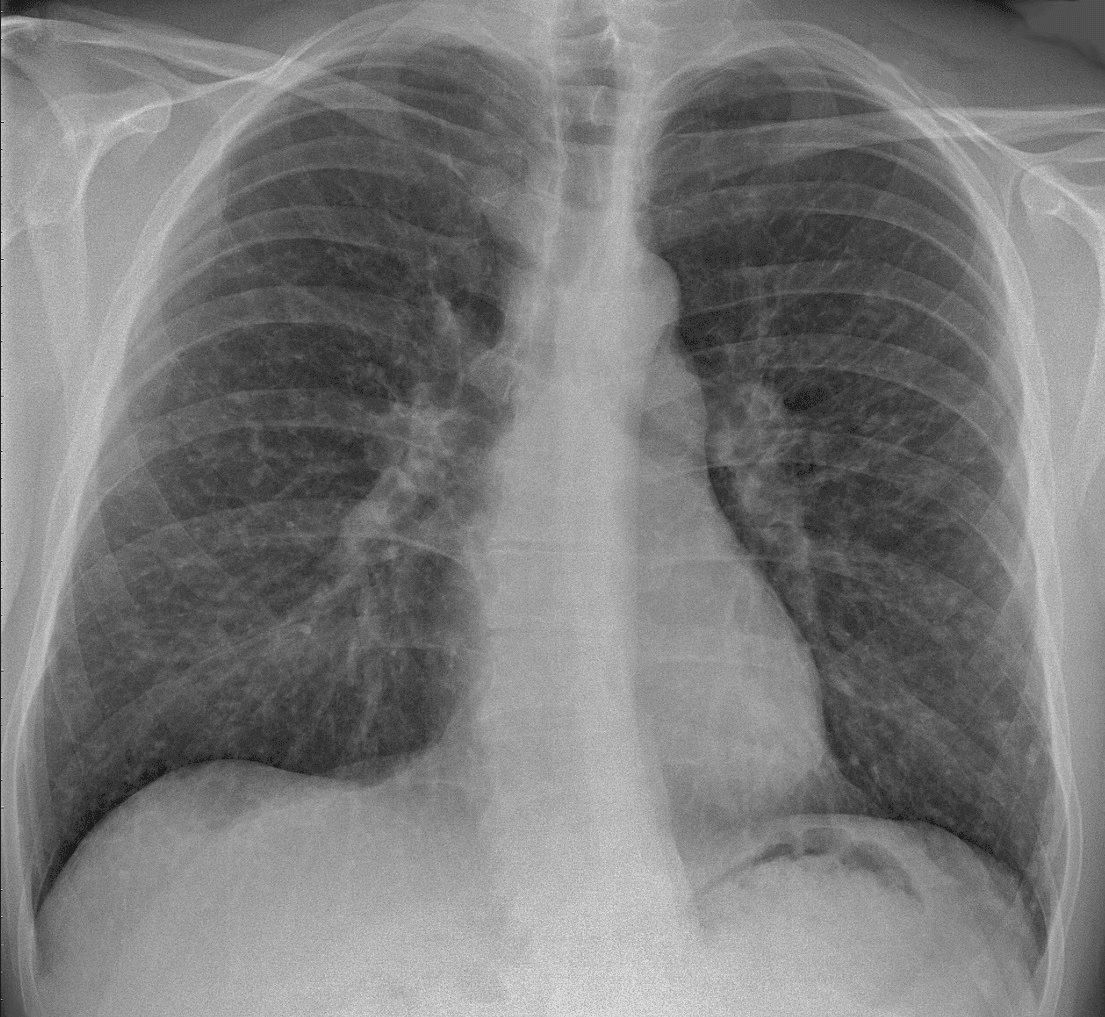
Sarcoidosis (also known as Besnier–Boeck–Schaumann disease) is a disease involving abnormal collections of inflammatory cells that form lumps known as granulomata. The disease usually begins in the lungs, skin, or lymph nodes. Less commonly affected are the eyes, liver, heart, and brain, though any organ can be affected. The signs and symptoms depend on the organ involved. Often, no, or only mild, symptoms are seen. When it affects the lungs, wheezing, coughing, shortness of breath, or chest pain may occur. Some may have Löfgren syndrome with fever, large lymph nodes, arthritis, and a rash known as erythema nodosum. The cause of sarcoidosis is unknown. Some believe it may be due to an immune reaction to a trigger such as an infection or chemicals in those who are genetically predisposed. Those with affected family members are at greater risk. Diagnosis is partly based on signs and symptoms, which may be supported by biopsy. Findings that make it likely include large lymph nodes at the root of the lung on both sides, high blood calcium with a normal parathyroid hormone level, or elevated levels of angiotensin-converting enzyme in the blood. The diagnosis should only be made after excluding other possible causes of similar symptoms such as tuberculosis. Sarcoidosis may resolve without any treatment within a few years. However, some people may have long-term or severe disease. Some symptoms may be improved with the use of anti-inflammatory drugs such as ibuprofen. In cases where the condition causes significant health problems, steroids such as prednisone are indicated. Medications such as methotrexate, chloroquine, or azathioprine may occasionally be used in an effort to decrease the side effects of steroids. The risk of death is 1–7%. The chance of the disease returning in someone who has had it previously is less than 5%. In 2015, pulmonary sarcoidosis and interstitial lung disease affected 1.9 million people globally and they resulted in 122,000 deaths. It is most common in Scandinavians, but occurs in all parts of the world.
Jiancheng Yang, Yi Ding, Zhen Gao