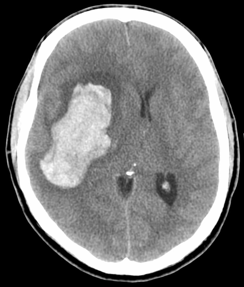
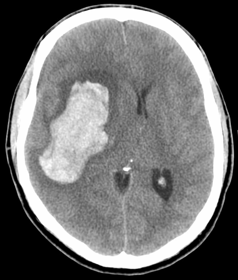
A hypertensive emergency is very high blood pressure with potentially life-threatening symptoms and signs of acute damage to one or more organ systems (especially brain, eyes, heart, aorta, or kidneys). It is different from a hypertensive urgency by this additional evidence for impending irreversible hypertension-mediated organ damage (HMOD). Blood pressure is often above 200/120 mmHg, however there are no universally accepted cutoff values. Signs of organ damage are discussed below. Symptoms may include headache, nausea, or vomiting. Chest pain may occur due to increased workload on the heart resulting in inadequate delivery of oxygen to meet the heart muscle's metabolic needs. The kidneys may be affected, resulting in blood or protein in the urine, and acute kidney failure. People can have decreased urine production, fluid retention, and confusion. Other signs and symptoms can include: Chest pain Abnormal heart rhythms Headache Nosebleeds that are difficult to stop Dyspnea Fainting or the sensation of the world spinning around them (vertigo) Severe anxiety Agitation Altered mental status Abnormal sensations The most common presentations of hypertensive emergencies are cerebral infarction (24.5%), pulmonary edema (22.5%), hypertensive encephalopathy (16.3%), and congestive heart failure (12%). Less common presentations include intracranial bleeding, aortic dissection, and pre-eclampsia or eclampsia. Massive, rapid elevations in blood pressure can trigger any of these symptoms, and warrant further work-up by physicians. Physical exam would include measurement of blood pressure in both arms. Laboratory tests to be conducted include urine toxicology, blood glucose, a basic metabolic panel evaluating kidney function, or a complete metabolic panel evaluating liver function, EKG, chest x-rays, and pregnancy screening. The eyes may show bleeding in the retina, an exudate, cotton-wool spots, scattered splinter hemorrhages, or swelling of the optic disc called papilledema. Many factors and causes are contributory in hypertensive crises.
Nikolaos Stergiopoulos, Stamatia Zoi Pagoulatou
Nikolaos Stergiopoulos, Georgios Rovas, Vasiliki Bikia, Stamatia Zoi Pagoulatou