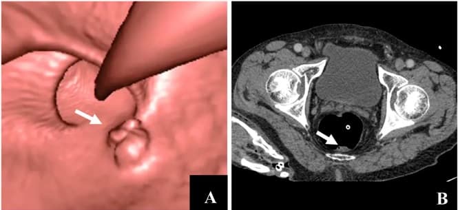
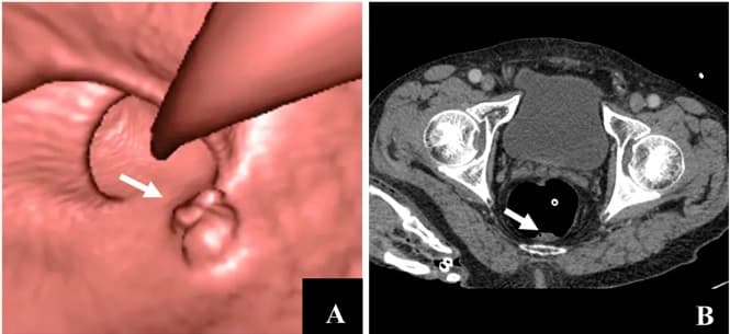
Virtual colonoscopy (VC, also called CT colonography or CT pneumocolon) is the use of CT scanning or magnetic resonance imaging (MRI) to produce two- and three-dimensional images of the colon (large intestine), from the lowest part, the rectum, to the lower end of the small intestine, and to display the images on an electronic display device. The procedure is used to screen for colon cancer and polyps, and may detect diverticulosis. A virtual colonoscopy can provide 3D reconstructed endoluminal views of the bowel. VC provides a secondary benefit of revealing diseases or abnormalities outside the colon. While preparations for VC vary, the patient will usually be asked to take laxatives or other oral agents at home the day before the procedure to clear stool from the colon. A suppository is also used to cleanse the rectum of any remaining fecal matter. The patient may also be given a solution designed to coat any residual faeces which may not have been cleared by the laxative, called 'faecal tagging'. This allows the physician (usually a consultant radiologist), viewing the 3D images to effectively subtract the left-over faeces, which may otherwise give false positive results. VC takes place in the radiology department of a hospital or medical center. The examination takes about 10 minutes and does not require sedatives. During the procedure: The patient is placed in a supine position on the examination table The patient may be given a dosage of Butylscopolamine intravenously to minimize muscle activity in the area. A thin tube is inserted into the rectum, so that air can be pumped through the tube in order to inflate the colon for better viewing. The table moves through the scanner to produce a series of two-dimensional cross-sections along the length of the colon. A computer program puts these images together to create a three-dimensional picture that can be viewed on the video screen. The patient is asked to hold his/her breath during the scan to avoid distortion on the images. The scan is then repeated with the patient lying in a prone position.
Michaël Unser, Masih Nilchian, Michael Thompson McCann, Marco Stampanoni
Hannes Bleuler, Evren Samur, Ulrich Spälter