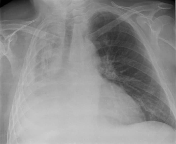
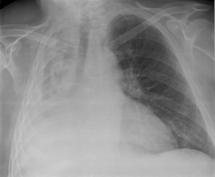
Atelectasis is the collapse or closure of a lung resulting in reduced or absent gas exchange. It is usually unilateral, affecting part or all of one lung. It is a condition where the alveoli are deflated down to little or no volume, as distinct from pulmonary consolidation, in which they are filled with liquid. It is often called a collapsed lung, although that term may also refer to pneumothorax. It is a very common finding in chest X-rays and other radiological studies, and may be caused by normal exhalation or by various medical conditions. Although frequently described as a collapse of lung tissue, atelectasis is not synonymous with a pneumothorax, which is a more specific condition that can cause atelectasis. Acute atelectasis may occur as a post-operative complication or as a result of surfactant deficiency. In premature babies, this leads to infant respiratory distress syndrome. The term uses combining forms of atel- + ectasis, from ἀτελής, "incomplete" + ἔκτασις, "extension". May have no signs and symptoms or they may include: cough, but not prominent; chest pain (not common); breathing difficulty (fast and shallow); low oxygen saturation; pleural effusion (transudate type); cyanosis (late sign); increased heart rate. It is a common misconception and pure speculation that atelectasis causes fever. A study of 100 post-op patients followed with serial chest X-rays and temperature measurements showed that the incidence of fever decreased as the incidence of atelectasis increased. A recent review article summarizing the available published evidence on the association between atelectasis and post-op fever concluded that there is no clinical evidence supporting this speculation. The most common cause is post-surgical atelectasis, characterized by splinting, i.e. restricted breathing after abdominal surgery. Atelectasis develops in 75–90% of people undergoing general anesthesia for a surgical procedure. Another common cause is pulmonary tuberculosis. Smokers and the elderly are also at an increased risk.
Goran Lovric, Marco Stampanoni
Goran Lovric, Marco Stampanoni
Nikolaos Stergiopoulos, Nico Westerhof