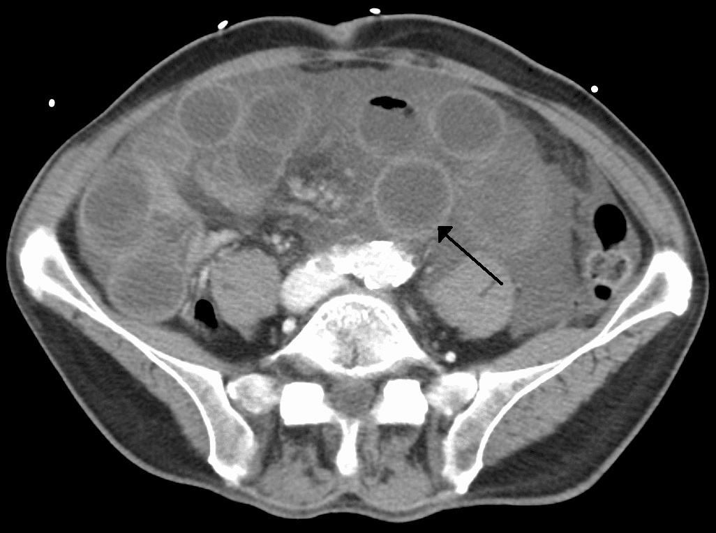
Intestinal ischemia is a medical condition in which injury to the large or small intestine occurs due to not enough blood supply. It can come on suddenly, known as acute intestinal ischemia, or gradually, known as chronic intestinal ischemia. The acute form of the disease often presents with sudden severe abdominal pain and is associated with a high risk of death. The chronic form typically presents more gradually with abdominal pain after eating, unintentional weight loss, vomiting, and fear of eating. Risk factors for acute intestinal ischemia include atrial fibrillation, heart failure, chronic kidney failure, being prone to forming blood clots, and previous myocardial infarction. There are four mechanisms by which poor blood flow occurs: a blood clot from elsewhere getting lodged in an artery, a new blood clot forming in an artery, a blood clot forming in the superior mesenteric vein, and insufficient blood flow due to low blood pressure or spasms of arteries. Chronic disease is a risk factor for acute disease. The best method of diagnosis is angiography, with computed tomography (CT) being used when that is not available. Treatment of acute ischemia may include stenting or medications to break down the clot provided at the site of obstruction by interventional radiology. Open surgery may also be used to remove or bypass the obstruction and may be required to remove any intestines that may have died. If not rapidly treated outcomes are often poor. Among those affected even with treatment the risk of death is 70% to 90%. In those with chronic disease bypass surgery is the treatment of choice. Those who have thrombosis of the vein may be treated with anticoagulation such as heparin and warfarin, with surgery used if they do not improve. Acute intestinal ischemia affects about five per hundred thousand people per year in the developed world. Chronic intestinal ischemia affects about one per hundred thousand people. Most people affected are over 60 years old. Rates are about equal in males and females of the same age.
Mario Gaetano Lepore, Hongxia Lei, Lara Buscemi Estefanell